[Ortho] Компоновка АВФ?

Троицкий Владимир orthoforum на weborto.net
Чт Май 7 01:11:45 YEKST 2009


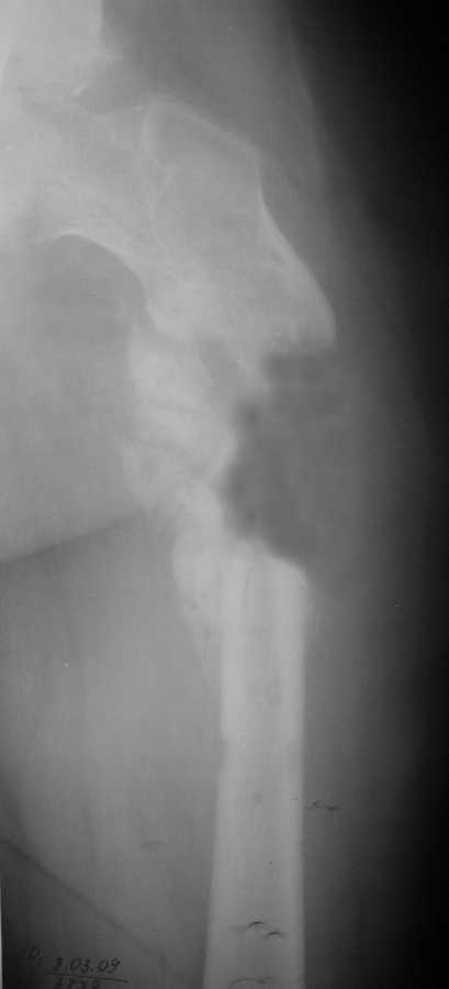
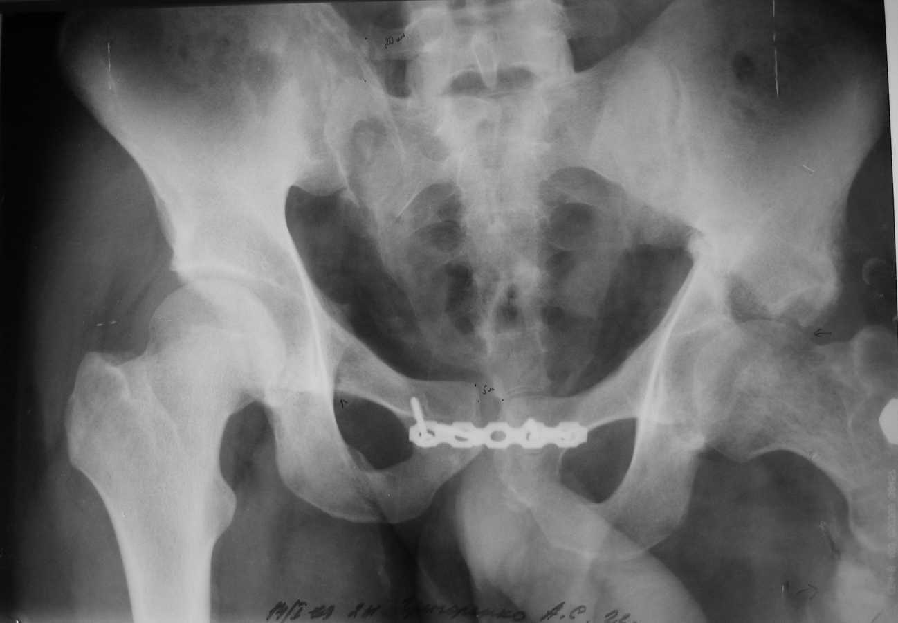
Уважаемые коллеги, у пациента 26 лет имеется дефект в\з бедренной кости образовавшийся в результате СНЭ по поводу травматического остеомиелита

Также имеется травматическая деформация таза с трансвертлужным переломом на стороне дефекта. 
Планируется замещение дефекта транспортом кости.
Хотелось бы услышать ваши советы по поводу оптимальной компоновки АВФ (стержневой, спице-стержневой), есть ли необходимость в дополнительной фиксации за кости таза?  

Троицкий Владимир
----------- следущая часть -----------
Вложение не в текстовом формате было извлечено…
Имя     : 001.jpg
Тип     : image/jpeg
Размер  : 7905 байтов
Описание: отсутствует
Url     : http://weborto.net:8080/pipermail/ortho/attachments/20090507/f754dbe2/attachment-0002.jpg 
----------- следущая часть -----------
Вложение не в текстовом формате было извлечено…
Имя     : 002.jpg
Тип     : image/jpeg
Размер  : 54918 байтов
Описание: отсутствует
Url     : http://weborto.net:8080/pipermail/ortho/attachments/20090507/f754dbe2/attachment-0003.jpg 


Подробная информация о списке рассылки Ortho