[Ortho] гемартроз после TKR

Maxim Agalakov orthoforum на weborto.net
Ср Май 13 00:35:12 YEKST 2009


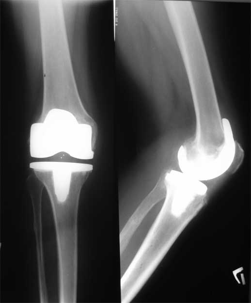
Уважаемые коллеги, пациентка 45 лет около 9 мес назад была прооперирована по поводу
правостороннего коксартроза э/п LCS Complete RP. послеоперационный период без
особенностей, объем движений в 6 мес с/р - 110/0/0. Через 9 мес после операции возник
напряженный гемартроз (без травмы, перегрузок), получено до 190 мл свежей крови, далее
фиксация в ортезе, повторные пункции. через 2 нед выписана из стационара без признаков
гемартроза. Через 2 нед аналогичная ситуация. Вопросы :причина? как лечить?
Maxim Agalakov
----------- УМЕДХЭБС ЮБУФШ -----------
Вложение не в текстовом формате было извлечено…
Имя     : 1.jpg
Тип     : image/jpeg
Размер  : 16514 байтов
Описание: отсутствует
Url     : http://weborto.net:8080/pipermail/ortho/attachments/20090513/64886c60/attachment-0003.jpg 
----------- УМЕДХЭБС ЮБУФШ -----------
Вложение не в текстовом формате было извлечено…
Имя     : 2.jpg
Тип     : image/jpeg
Размер  : 6392 байтов
Описание: отсутствует
Url     : http://weborto.net:8080/pipermail/ortho/attachments/20090513/64886c60/attachment-0004.jpg 
----------- УМЕДХЭБС ЮБУФШ -----------
Вложение не в текстовом формате было извлечено…
Имя     : 3..jpg
Тип     : image/jpeg
Размер  : 14532 байтов
Описание: отсутствует
Url     : http://weborto.net:8080/pipermail/ortho/attachments/20090513/64886c60/attachment-0005.jpg 


Подробная информация о списке рассылки Ortho