[Ortho] Постравматический ложный сустав б/берцовой кости.

Abdurashid orthoforum на weborto.net
Сб Май 16 10:31:26 YEKST 2009


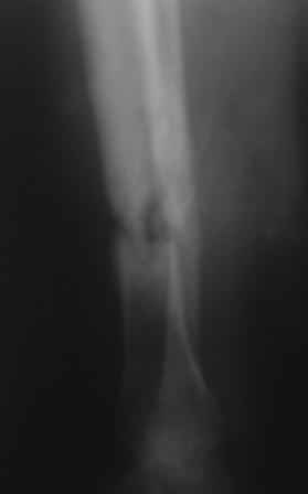
  Добрый вечер, уважаемые коллеги! Обратилась женщина, 30 лет. ДТП 11 октября 2008 г. Из выписки: О/многооскольчатый перелом костей левой голени по Каплану 3В,
                        
ПХО раны, гипсовая повязка, перевод в гор.б-цу, в 21.10.08г КДО аппаратом Илизарова(почему-то в вальгусном положении), ч-з два месяца тромбофлебит лев.н/конечности, отеки, воспаление, и аппарат сняли, с тех пор ходит в гипсовой повязке со стременем. к-рую периодически меняют, якобы кость со временем срастется.
На уровне н/з голени глубокие рубцы по передне-медиальной поверхности, умеренная отечность голени, незначительная патологическая подвижность, умерен. болезненность, ось правильная, укорочение 1,5см.
Наш план БИОС после остеоклазии м/берцовой кости. Но укорочение еще будет увеличиваться!
Уважаемые коллеги, какие будут предложения?
Больная от повторного КДО пока отказывается.
С уавжением Абдурашид. 

----------- УМЕДХЭБС ЮБУФШ -----------
Вложение не в текстовом формате было извлечено…
Имя     : PICT0050.JPG
Тип     : image/jpeg
Размер  : 3020 байтов
Описание: отсутствует
Url     : http://weborto.net:8080/pipermail/ortho/attachments/20090516/7afdc6e1/attachment.jpe 
----------- УМЕДХЭБС ЮБУФШ -----------
Вложение не в текстовом формате было извлечено…
Имя     : PICT0052.JPG
Тип     : image/jpeg
Размер  : 4311 байтов
Описание: отсутствует
Url     : http://weborto.net:8080/pipermail/ortho/attachments/20090516/7afdc6e1/attachment-0004.jpeg 
----------- УМЕДХЭБС ЮБУФШ -----------
Вложение не в текстовом формате было извлечено…
Имя     : PICT0059.JPG
Тип     : image/jpeg
Размер  : 7465 байтов
Описание: отсутствует
Url     : http://weborto.net:8080/pipermail/ortho/attachments/20090516/7afdc6e1/attachment-0005.jpeg 
----------- УМЕДХЭБС ЮБУФШ -----------
Вложение не в текстовом формате было извлечено…
Имя     : PICT0060.JPG
Тип     : image/jpeg
Размер  : 8411 байтов
Описание: отсутствует
Url     : http://weborto.net:8080/pipermail/ortho/attachments/20090516/7afdc6e1/attachment-0006.jpeg 


Подробная информация о списке рассылки Ortho