[Ortho] Несросшийся перелом при интрамедуллярном блокируемом синтезе

Багов О.Х. orthoforum на weborto.net
Сб Май 16 10:46:11 YEKST 2009


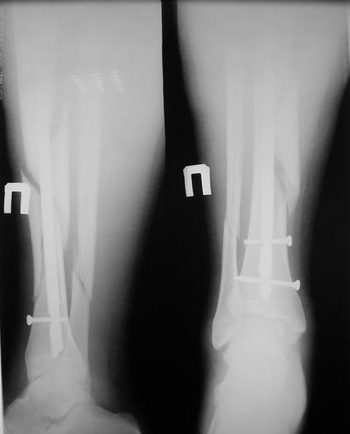
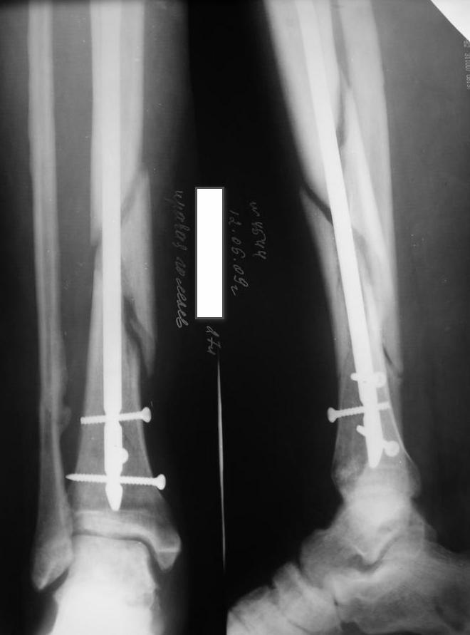
Уважаемые коллеги травматологи подскажите как нам быть и что делать. Думали всем
отделением.Несрощение оскольчатого перелома костей голени после интрамедуллярного
блокируемого синтеза.

У нас был молодой пациент М.(26лет), травма 25 января 2009г, катался на лыжах и получил
травму. Поступил к нам в отделение в экстренном порядке. При обследованиии выявлен закрытый
винтоообразный оскольчатый перелом правой большеберцовой кости и косой перелом
малоберцовой кости на границе средней и нижней трети. Выполнен интрамедуллярный
блокируемый синтез большеберцовой кости, оси и длина конечности восстановлена. После
операции пациент ходил с полной нагрузкой. Через 3 месяца на контрольных рентгенограммах
сращения нет, динамизации не выполняли, так как оскольчатый перелом.(снимки в динамике
прилагаются). Посоветуйте, что в данном случае делать наиболее целесообразно?
Багов О.Х.
----------- УМЕДХЭБС ЮБУФШ -----------
Вложение не в текстовом формате было извлечено…
Имя     : P5150005.JPG
Тип     : image/jpeg
Размер  : 15780 байтов
Описание: отсутствует
Url     : http://weborto.net:8080/pipermail/ortho/attachments/20090516/c0d355e4/attachment-0003.jpeg 
----------- УМЕДХЭБС ЮБУФШ -----------
Вложение не в текстовом формате было извлечено…
Имя     : P5150006.JPG
Тип     : image/jpeg
Размер  : 33797 байтов
Описание: отсутствует
Url     : http://weborto.net:8080/pipermail/ortho/attachments/20090516/c0d355e4/attachment-0004.jpeg 
----------- УМЕДХЭБС ЮБУФШ -----------
Вложение не в текстовом формате было извлечено…
Имя     : P5150007.JPG
Тип     : image/jpeg
Размер  : 34601 байтов
Описание: отсутствует
Url     : http://weborto.net:8080/pipermail/ortho/attachments/20090516/c0d355e4/attachment-0005.jpeg 


Подробная информация о списке рассылки Ortho