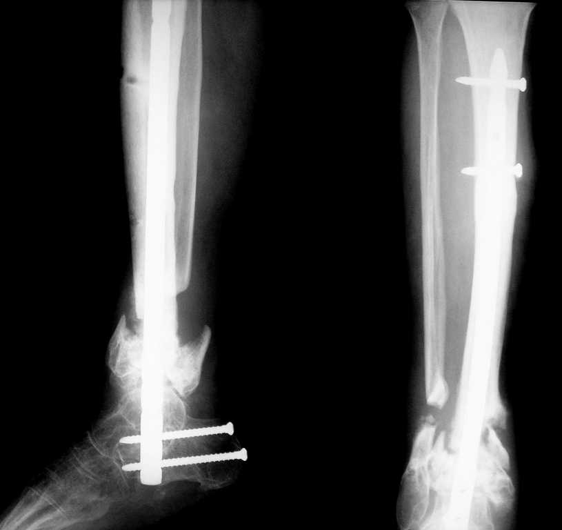
[Ortho] Ложный сустав н/3 голени

Смирнов Алексей orthoforum на weborto.net
Сб Май 16 13:02:02 YEKST 2009


Вот что в итоге получилось. Вопрос по поводу нагрузки: может сразу дать? и зря я поставил
статический винт?
Смирнов Алексей
----------- УМЕДХЭБС ЮБУФШ -----------
Вложение не в текстовом формате было извлечено…
Имя     : DSC06498.JPG
Тип     : image/jpeg
Размер  : 46632 байтов
Описание: отсутствует
Url     : http://weborto.net:8080/pipermail/ortho/attachments/20090516/b86301b7/attachment-0001.jpeg 


Подробная информация о списке рассылки Ortho