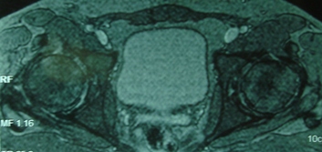
[Ortho] Двусторонний коксартроз 2

Юрий Алексеевич vertebra на mail.iks.ru
Ср Май 20 01:15:11 YEKST 2009


 Имеются в виду разновидности артролиза в связи с локализацией
 изменений?

       С уважением, Ю.АБулахтин
----------- УМЕДХЭБС ЮБУФШ -----------
Вложение не в текстовом формате было извлечено…
Имя     : ЯМР 2 май 2009.JPG
Тип     : image/jpeg
Размер  : 38885 байтов
Описание: отсутствует
Url     : http://weborto.net:8080/pipermail/ortho/attachments/20090520/789da7ae/attachment-0002.jpeg 
----------- УМЕДХЭБС ЮБУФШ -----------
Вложение не в текстовом формате было извлечено…
Имя     : Январь 2005-правый.JPG
Тип     : image/jpeg
Размер  : 32857 байтов
Описание: отсутствует
Url     : http://weborto.net:8080/pipermail/ortho/attachments/20090520/789da7ae/attachment-0003.jpeg 


Подробная информация о списке рассылки Ortho