[Ortho] Помогите определиться с диагнозом

Дмитрий Бекреев orthoforum на weborto.net
Ср Май 27 00:56:58 YEKST 2009


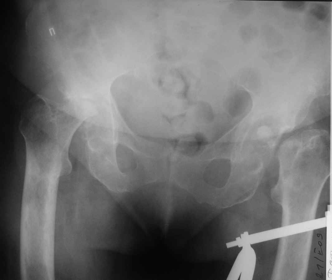
Здравствуйте уважаемые коллеги. Поступила женщина 60 лет с переломом
левого бедра в н/3 диафиза, травма произошла около 2-х недель назад,
упала дома. При сборе анамнеза установлено, что в течении 3-х
последних лет больную беспокоили боли в тазобедренных суставах, и уже
около 1,5 лет она передвигается только на сидячей каталке. При
дополнительном обследовании выявлена данная рентгенологическая
картина. Факт какой-либо травмы отрицает, поражения мелких и средних
суставов кистей и стоп нет, в анализе крови СОЭ 60мм/ч, лейкоцитоза
нет. Помогите, пожалуйста, определиться с диагнозом, какие
исследования необходимо провести. 

По тактике лечения планируем интрамедуллярный остеосинтез левого
бедра, эндопротезирование тазобедренного сустава справа. После 
сращения бедра эндопротезирование левого тазобедренного сустава.
Дмитрий Бекреев
----------- УМЕДХЭБС ЮБУФШ -----------
Вложение не в текстовом формате было извлечено…
Имя     : P1011112.JPG
Тип     : image/jpeg
Размер  : 34417 байтов
Описание: отсутствует
Url     : http://weborto.net:8080/pipermail/ortho/attachments/20090527/e4b1ec22/attachment-0001.jpeg 


Подробная информация о списке рассылки Ortho