[Ortho] Остеохондропатия таранной кости

Салимов Руслан orthoforum на weborto.net
Ср Май 27 01:38:35 YEKST 2009


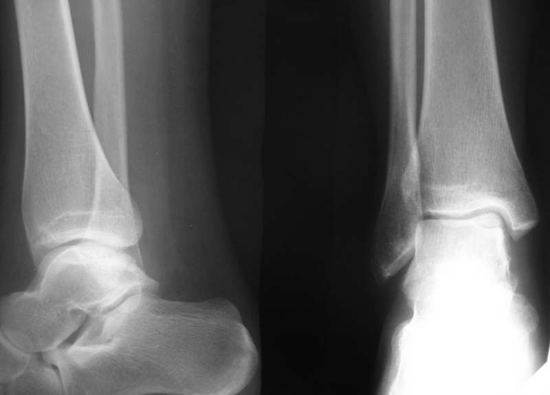
Больная М., 30 лет, около полугода беспокоят боли в голеностопном суставе. На
рентгенограммах и КТ признаки остеохондропатии блока таранной кости.(РКТ на бумаге
поэтому не выкладываю) Выносится на обсуждение тактика: 1. Просто ждать, назначив
разгрузку сустава, физиолечение, ЛФК. 2. Артротомия сустава, фиксация винтом типа
Герберта. 3. Артроскопия или артротомии с удалением фрагмента.
Салимов Руслан
----------- УМЕДХЭБС ЮБУФШ -----------
Вложение не в текстовом формате было извлечено…
Имя     : SANY3263-2.jpg
Тип     : image/jpeg
Размер  : 65899 байтов
Описание: отсутствует
Url     : http://weborto.net:8080/pipermail/ortho/attachments/20090527/c9475062/attachment-0001.jpg 


Подробная информация о списке рассылки Ortho