[Ortho] неправильно фиксированный перелом

Дмитрий Бекреев bekrey на gmail.com
Ср Май 27 09:05:54 YEKST 2009


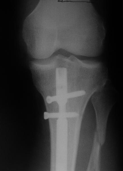
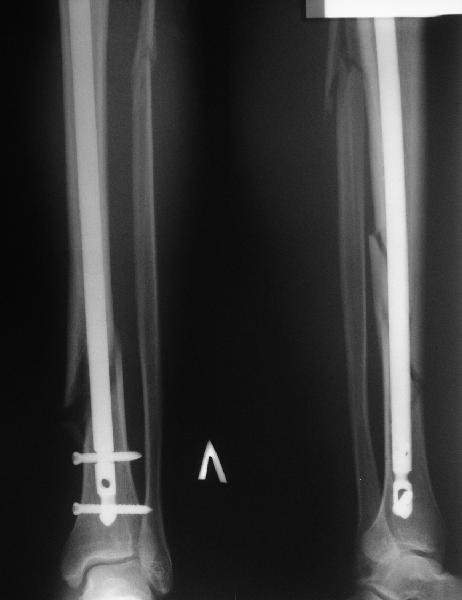
Добрый день, уважаемые коллеги. На консультацию обратился мужчина 30
лет. Месяц назад по месту жительства ему был выполнен закрытый
интрамедуллярный остеосинтез большеберцовой кости по поводу
спирального перелома обеих костей голени. Ходит с ограниченной
нагрузкой на ногу. Направлен из травмпункта по поводу оставшегося
смещения отломков. У нас разделилось мнение коллег по вопросу  - есть
ли необходимость в закрытом интрамедуллярном реостеосинтезе с
исправлением оси или только ограничиться динамизацией гвоздя.

-- 
Бекреев Дмитрий
----------- следущая часть -----------
Вложение не в текстовом формате было извлечено…
Имя     : get_image1.jpeg
Тип     : image/jpeg
Размер  : 19790 байтов
Описание: отсутствует
Url     : http://weborto.net:8080/pipermail/ortho/attachments/20090527/9eb09cc7/attachment-0002.jpeg 
----------- следущая часть -----------
Вложение не в текстовом формате было извлечено…
Имя     : get_image.jpeg
Тип     : image/jpeg
Размер  : 16515 байтов
Описание: отсутствует
Url     : http://weborto.net:8080/pipermail/ortho/attachments/20090527/9eb09cc7/attachment-0003.jpeg 


Подробная информация о списке рассылки Ortho