[Ortho] курьзный случай [1/3]

Djoldas Kuldjanov orthoforum на weborto.net
Сб Май 30 14:41:26 YEKST 2009


Уважаемые коллеги,

Основную массу ургентной травмы в крупных городах Америки оказывают в центрах Травмы Первого Уровня. Ну не так как в популярных телесериалах типа "Emergency Room", но общая атмосфера похожая, где кроме травмы скелета принимаются все остальные ургентные случаи.

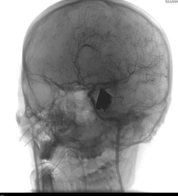
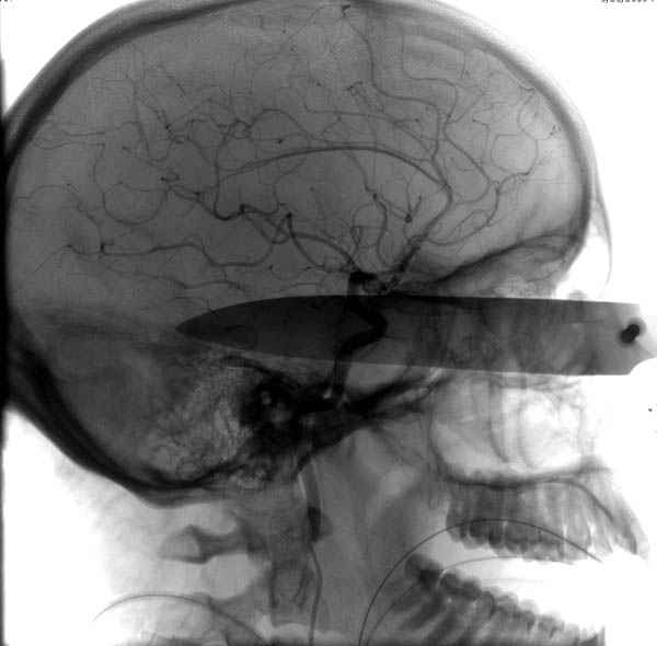
В своих выступлениях я рассказывал, что наши центры в мирное время по пенетрирующим травмам не уступает Ираку или Афганстану, и вот недавно к нам поступила больная 22 лет, травма "ножом в глаз" от бывшей подруги нынешнего "бой френда".

При поступлении в сознании, жаловалась на неприятные ощущения в глазнице.

По протоколу сделаны все необходимые исследования: рентген, ангиограмма с 3Д реконструкцией, где обнаружили что все жизненно важные сосуды не задеты, даже некоторые "сидят" изгибаясь на ноже.

Одним махом нож удалить не удалось, пришлось раскачать и потом двумя руками удалили нож. Рана без кровотечения, обработана и зашита.

Djoldas Kuldjanov, MD
Department of Orthopedic Surgery
St. Louis University Medical Center

----------- УМЕДХЭБС ЮБУФШ -----------
Вложение не в текстовом формате было извлечено…
Имя     : 1 Trauma Indiana.jpg
Тип     : image/jpeg
Размер  : 28439 байтов
Описание: отсутствует
Url     : http://weborto.net:8080/pipermail/ortho/attachments/20090530/3a4e4000/attachment-0008.jpg 
----------- УМЕДХЭБС ЮБУФШ -----------
Вложение не в текстовом формате было извлечено…
Имя     : 2 Trauma Indiana.jpg
Тип     : image/jpeg
Размер  : 26925 байтов
Описание: отсутствует
Url     : http://weborto.net:8080/pipermail/ortho/attachments/20090530/3a4e4000/attachment-0009.jpg 
----------- УМЕДХЭБС ЮБУФШ -----------
Вложение не в текстовом формате было извлечено…
Имя     : 3 Trauma Indiana.jpg
Тип     : image/jpeg
Размер  : 38316 байтов
Описание: отсутствует
Url     : http://weborto.net:8080/pipermail/ortho/attachments/20090530/3a4e4000/attachment-0010.jpg 
----------- УМЕДХЭБС ЮБУФШ -----------
Вложение не в текстовом формате было извлечено…
Имя     : 4 Trauma Indiana.jpg
Тип     : image/jpeg
Размер  : 37815 байтов
Описание: отсутствует
Url     : http://weborto.net:8080/pipermail/ortho/attachments/20090530/3a4e4000/attachment-0011.jpg 
----------- УМЕДХЭБС ЮБУФШ -----------
Вложение не в текстовом формате было извлечено…
Имя     : 5 Trauma Indiana.jpg
Тип     : image/jpeg
Размер  : 33829 байтов
Описание: отсутствует
Url     : http://weborto.net:8080/pipermail/ortho/attachments/20090530/3a4e4000/attachment-0012.jpg 
----------- УМЕДХЭБС ЮБУФШ -----------
Вложение не в текстовом формате было извлечено…
Имя     : 6 Trauma Indiana.jpg
Тип     : image/jpeg
Размер  : 49838 байтов
Описание: отсутствует
Url     : http://weborto.net:8080/pipermail/ortho/attachments/20090530/3a4e4000/attachment-0013.jpg 
----------- УМЕДХЭБС ЮБУФШ -----------
Вложение не в текстовом формате было извлечено…
Имя     : 7 Trauma Indiana.jpg
Тип     : image/jpeg
Размер  : 50139 байтов
Описание: отсутствует
Url     : http://weborto.net:8080/pipermail/ortho/attachments/20090530/3a4e4000/attachment-0014.jpg 
----------- УМЕДХЭБС ЮБУФШ -----------
Вложение не в текстовом формате было извлечено…
Имя     : 8 Trauma Indiana.jpg
Тип     : image/jpeg
Размер  : 28648 байтов
Описание: отсутствует
Url     : http://weborto.net:8080/pipermail/ortho/attachments/20090530/3a4e4000/attachment-0015.jpg 


Подробная информация о списке рассылки Ortho