[Ortho] Сросшийся со смещением чрез-подвертельный перелом

Филипчук Виктор orthoforum на weborto.net
Пн Ноя 2 15:06:27 YEKT 2009


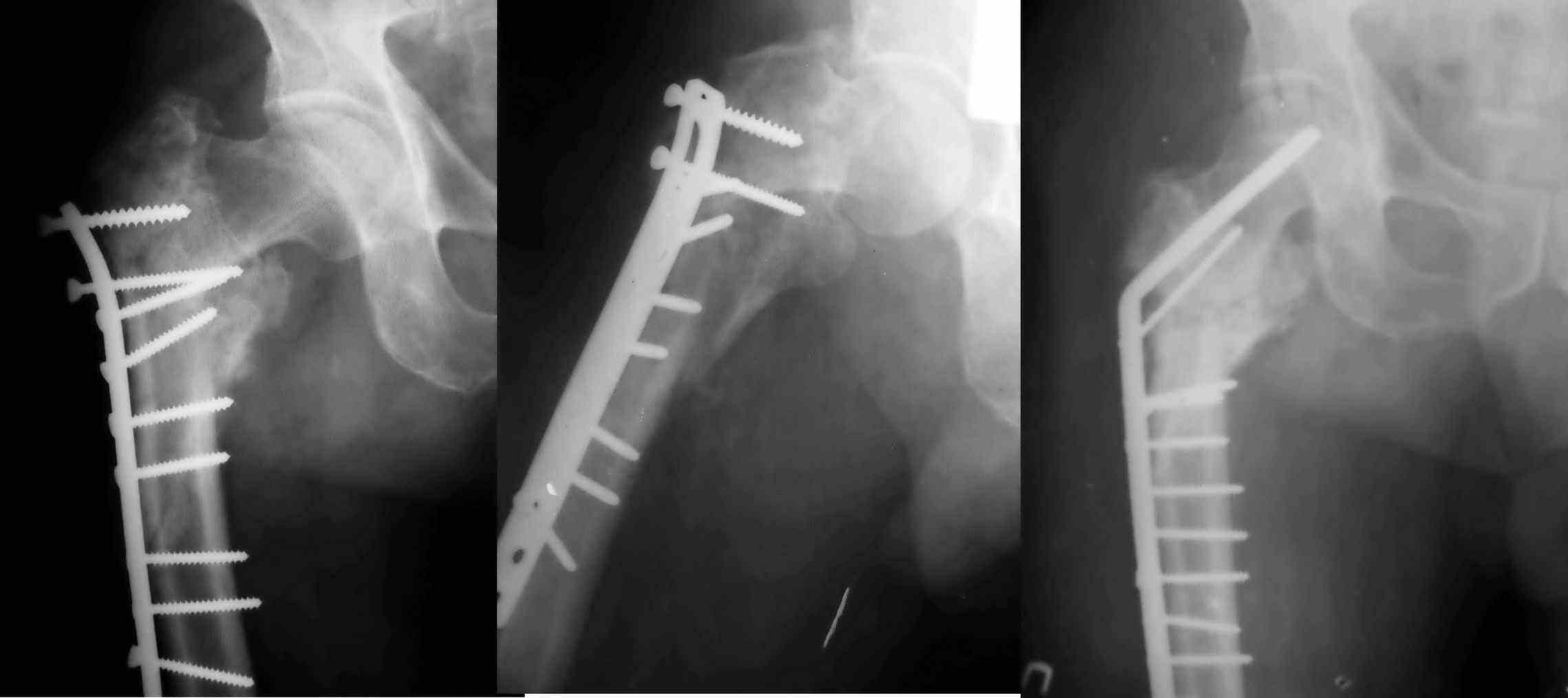
Уважаемый Глеб! Укорочение наверное побольше, да и наружно-ротационная установка скорее всего присутствует.  Суставная щель прекрасная, головка живее всех живых. Ратую за подвертельную  с латерализацией: исключает нарушение механической оси («исключает вальгус в коленe»), максимально удлиняет без натяжения m.iliacus. Для иллюстрации остеотомия-переделка (слава богу не автопеределка) у мужчины 65 лет.
Филипчук.
PS. Извините за качество последнего снимка, рентгенограмма выполнена по м. жительства, там где  был проведен синтез. Последний снимок выполнен через 2 мес. п\о, больной без разрешения начал наступать, слава богу все обошлось.

Филипчук Виктор

----------- УМЕДХЭБС ЮБУФШ -----------
Вложение не в текстовом формате было извлечено…
Имя     : 1.jpg
Тип     : image/jpeg
Размер  : 57611 байтов
Описание: отсутствует
Url     : http://weborto.net:8080/pipermail/ortho/attachments/20091102/e30b2f84/attachment-0001.jpg 


Подробная информация о списке рассылки Ortho