[Ortho] Клинковые пластины или DHS? / Blade-plates or DHS?

Филипчук Виктор orthoforum на weborto.net
Пн Ноя 2 21:24:34 YEKT 2009


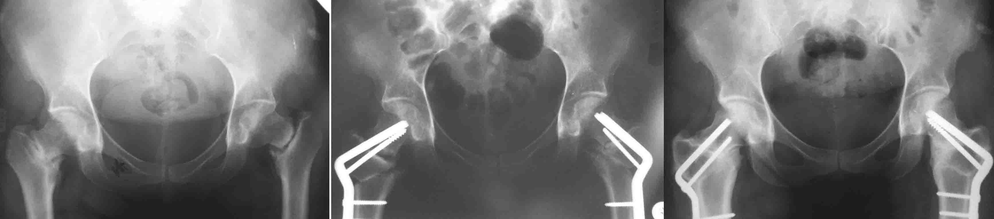
 И клинковые и DHS, это всего лишь способ остеосинтеза, хотя, наверное, клинковые  дают большую ротационную стабильность (по оси шейки), менее травматичны. Но это не постулат ( 1943 J Bone Joint Surg Am.;25:319-339. W. P. Blount BLADE-PLATE INTERNAL FIXATION FOR HIGH FEMORAL OSTEOTUMIES). При подвертельных остеотомиях с латерализацией клинковые пластины метод выбора (по другому латерализацию дистального не выполнишь). Оптимальними являються рассчеты СORA  по Dror Paley (centr rotation and angulation). Взяты из книги Principles of Deformity Correction by Dror Paley. Для примера  межвертельные при двусторонних ложных  cуставах шеек.
Филипчук
----------- УМЕДХЭБС ЮБУФШ -----------
Вложение не в текстовом формате было извлечено…
Имя     : 1.jpg
Тип     : image/jpeg
Размер  : 52626 байтов
Описание: отсутствует
Url     : http://weborto.net:8080/pipermail/ortho/attachments/20091102/934bb880/attachment-0001.jpg 


Подробная информация о списке рассылки Ortho