[Ortho] Перипротезный перелом

Rashid Tikhilov rtikhilov на gmail.com
Чт Ноя 5 00:00:42 YEKT 2009


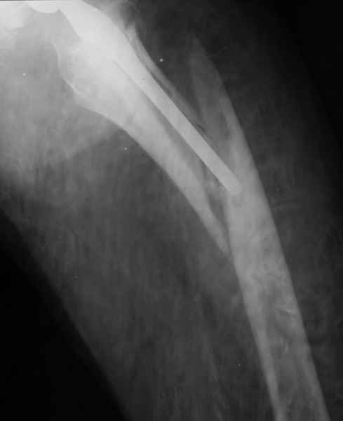
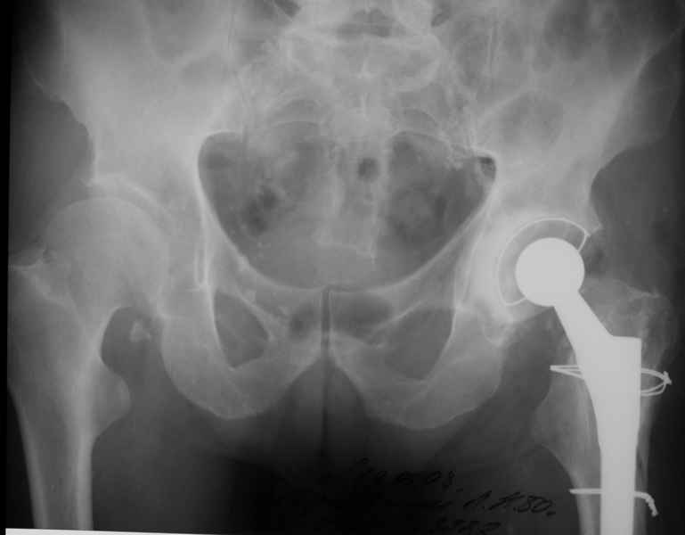
Уважаемые коллеги, продолжая дискуссию, начатую на "Вреденовских чтениях", хочу сказать, что принципиально сущестует два возможных варианта лечения.
1.Остеосинтез на ножке. Мне кажется, что применительно к этому случаю малоперспективный вариант. Синтез хорош, когда можно его выполнить в малоинвазивном исполнении и достигнуть стабильности. Действительно, если ножка б/цементной фиксации после этого не будет иметь фиксации, то ревизия не будет иметь проблем. В представленном случае стабильность синтеза сомнительная, а проведение доп.иммобилизации приведет к контрактуре суставов.
2. Применение ножки дистальной фиксации, мы отдаем предпочтение ножке Вагнера с фиксацией проксимального отдела на ножке. Более травматичное вмешательство, но при стабильной фиксации ножки реабилитация идет в обычном режиме.
Хочется показать два подобных случая, П-ка Зубарева 72 лет и п-т Гладковский 80 лет. Сразу принимаю замечание, что это были ножки цементной фиксации, просто под руками не было бесцементника.
С уважением, Р.Тихилов

25 октября 2009 г. 9:37 пользователь Alexander Chelnokov <alex на weborto.net> написал:

Dear Максим.

You wrote 25 октября 2009 г., 11:19:10:


>ножка просела немного (вопрос, много - это сколько?)перечисленные
>проблемы - не самое важное сейчас, на них можно закрыть глаза. Ножка
>явно нестабильна, проксимальный отломок с б/вертелом к гвоздю не
>прицепить, срастется ли он с ножкой

Можно уверенно рассчитывать на сращение фрагментов бедра между собой.
Можно ли рассчитывать на реинтеграцию имеющейся ножки в проксимальном
отделе - действительно вопрос открытый. Но во всяком случае ножка
будет заметное время стабильной за счет дистальной фиксации. Будет ли
это время достаточно на всю оставшуюся жизнь пациента - трудно
предугадать.
Но, как Александр Виноградский справедливо заметил, после сращения
бедра появляется возможность поставить даже обычную ножку большего
размера.


--
Best regards,
Alexander N. Chelnokov
Ural Scientific Research Institute
of Traumatology and Orthopaedics
7, Bankovsky str. Ekaterinburg 620014 Russia


_______________________________________________
Ortho mailing list
Ortho на weborto.net
http://weborto.net:8080/mailman/listinfo/ortho
----------- УМЕДХЭБС ЮБУФШ -----------
Вложение не в текстовом формате было извлечено&hellip;
Имя     : 8.03.08.jpg
Тип     : image/jpeg
Размер  : 16939 байтов
Описание: отсутствует
Url     : http://weborto.net:8080/pipermail/ortho/attachments/20091105/b3aef7b4/attachment-0010.jpg 
----------- УМЕДХЭБС ЮБУФШ -----------
Вложение не в текстовом формате было извлечено&hellip;
Имя     : 8.03.08-2.jpg
Тип     : image/jpeg
Размер  : 12505 байтов
Описание: отсутствует
Url     : http://weborto.net:8080/pipermail/ortho/attachments/20091105/b3aef7b4/attachment-0011.jpg 
----------- УМЕДХЭБС ЮБУФШ -----------
Вложение не в текстовом формате было извлечено&hellip;
Имя     : 18.03.08.jpg
Тип     : image/jpeg
Размер  : 25055 байтов
Описание: отсутствует
Url     : http://weborto.net:8080/pipermail/ortho/attachments/20091105/b3aef7b4/attachment-0012.jpg 
----------- УМЕДХЭБС ЮБУФШ -----------
Вложение не в текстовом формате было извлечено&hellip;
Имя     : 18.03.08-1.jpg
Тип     : image/jpeg
Размер  : 16304 байтов
Описание: отсутствует
Url     : http://weborto.net:8080/pipermail/ortho/attachments/20091105/b3aef7b4/attachment-0013.jpg 
----------- УМЕДХЭБС ЮБУФШ -----------
Вложение не в текстовом формате было извлечено&hellip;
Имя     : 18.03.08-2.jpg
Тип     : image/jpeg
Размер  : 11111 байтов
Описание: отсутствует
Url     : http://weborto.net:8080/pipermail/ortho/attachments/20091105/b3aef7b4/attachment-0014.jpg 
----------- УМЕДХЭБС ЮБУФШ -----------
Вложение не в текстовом формате было извлечено&hellip;
Имя     : 20.06.08-1.jpg
Тип     : image/jpeg
Размер  : 16783 байтов
Описание: отсутствует
Url     : http://weborto.net:8080/pipermail/ortho/attachments/20091105/b3aef7b4/attachment-0015.jpg 
----------- УМЕДХЭБС ЮБУФШ -----------
Вложение не в текстовом формате было извлечено&hellip;
Имя     : 20.06.08-2.jpg
Тип     : image/jpeg
Размер  : 14585 байтов
Описание: отсутствует
Url     : http://weborto.net:8080/pipermail/ortho/attachments/20091105/b3aef7b4/attachment-0016.jpg 
----------- УМЕДХЭБС ЮБУФШ -----------
Вложение не в текстовом формате было извлечено&hellip;
Имя     : z10.04.08.jpg
Тип     : image/jpeg
Размер  : 12834 байтов
Описание: отсутствует
Url     : http://weborto.net:8080/pipermail/ortho/attachments/20091105/b3aef7b4/attachment-0017.jpg 
----------- УМЕДХЭБС ЮБУФШ -----------
Вложение не в текстовом формате было извлечено&hellip;
Имя     : z10.04.08-1.jpg
Тип     : image/jpeg
Размер  : 12960 байтов
Описание: отсутствует
Url     : http://weborto.net:8080/pipermail/ortho/attachments/20091105/b3aef7b4/attachment-0018.jpg 
----------- УМЕДХЭБС ЮБУФШ -----------
Вложение не в текстовом формате было извлечено&hellip;
Имя     : z15.04.08.jpg
Тип     : image/jpeg
Размер  : 16225 байтов
Описание: отсутствует
Url     : http://weborto.net:8080/pipermail/ortho/attachments/20091105/b3aef7b4/attachment-0019.jpg 


Подробная информация о списке рассылки Ortho