[Ortho] выбор тактики лечения

Александр orthoforum на weborto.net
Чт Ноя 5 22:38:14 YEKT 2009


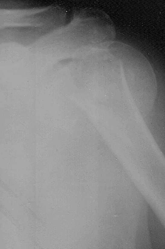
Доброго времени суток,коллеги.Больная 51 год травма 2,11,09 в 20:00
сосудистых,неврологических расстройств нет

3,11,09 выполнена попытка закрытой репозиции,безуспешно. Планируем накостный синтез
Т-образной пластиной.Буду крайне признателен за дельные советы.
Александр
----------- УМЕДХЭБС ЮБУФШ -----------
Вложение не в текстовом формате было извлечено…
Имя     : 1.jpg
Тип     : image/jpeg
Размер  : 19540 байтов
Описание: отсутствует
Url     : http://weborto.net:8080/pipermail/ortho/attachments/20091105/c00c2b07/attachment-0001.jpg 


Подробная информация о списке рассылки Ortho