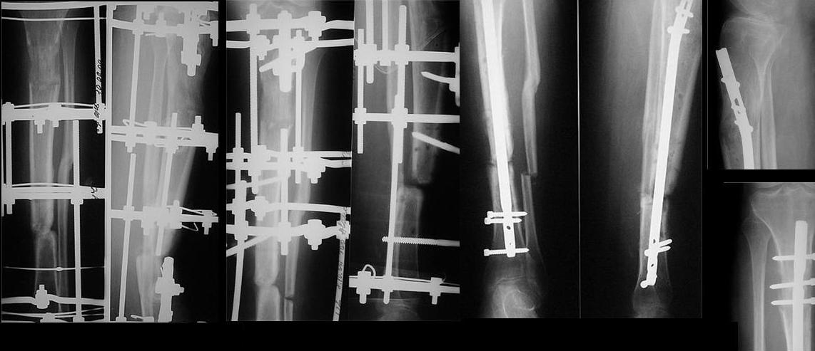
[Ortho] Трудности при лечении открытого перелома голени

Виктор Попов. Караганда orthoforum на weborto.net
Вс Ноя 8 20:32:53 YEKT 2009


31.10.09 г. сделан первый этап операции: остеосинтез спице-стержневым
аппаратом 7.11.09 г. выполнен второй этап - БИОС с рассверливанием
канала, операция прошла без ожидаемых трудностей, открывать зону
ложного сустава не пришлось. Прошу сделать замечания. Виктор. 
----------- УМЕДХЭБС ЮБУФШ -----------
Вложение не в текстовом формате было извлечено…
Имя     : 1.jpg
Тип     : image/jpeg
Размер  : 64592 байтов
Описание: отсутствует
Url     : http://weborto.net:8080/pipermail/ortho/attachments/20091108/98e8a4d3/attachment-0001.jpg 


Подробная информация о списке рассылки Ortho