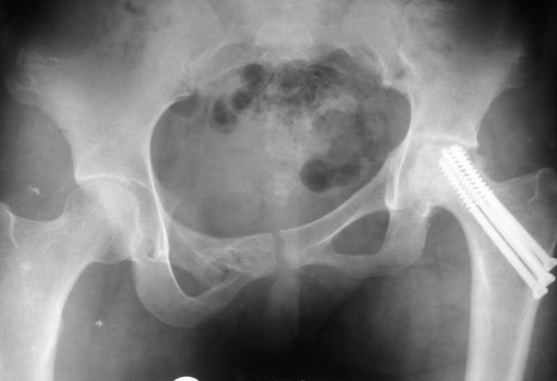
[Ortho] AVN of femoral head and fracture of the pelvis.

Салимов Руслан orthoforum на weborto.net
Вт Ноя 17 17:38:21 YEKT 2009


 Больная К., 18 лет. Падение с высоты 5 этажа в январе 2008 г.
Остеосинтез винтами перелома шейки бедра слева и оскольчатого перелома
костей таза аппаратом внешней фиксации. Демонтаж аппарата через 3
мес., нагрузка на левую ногу через 6 мес. Через год стала ходить без
палочки. С марта 2009 года стала замечать укорочение левой нижней
конечности, появились боли в левом тазобедренном суставе. В настоящее
время укорочение 8 см., выраженная приводящая контрактура в левом
тазобедренном суставе. На обсуждение выносится тактика: сначала
удлинить конечность, а затем выполнить эндопротезирование или сразу
произвести эндопротезирование. 

The patient with posttraumatic AVN of femoral head and fracture of the
pelvis. The trauma was 1,5 year ago. Now she has the pain in the hip
and the shortening 8 cm 

Салимов Руслан

----------- УМЕДХЭБС ЮБУФШ -----------
Вложение не в текстовом формате было извлечено…
Имя     : SANY4876-1.jpg
Тип     : image/jpeg
Размер  : 69333 байтов
Описание: отсутствует
Url     : http://weborto.net:8080/pipermail/ortho/attachments/20091117/3942bddb/attachment-0005.jpg 
----------- УМЕДХЭБС ЮБУФШ -----------
Вложение не в текстовом формате было извлечено…
Имя     : SANY4878-1.jpg
Тип     : image/jpeg
Размер  : 54650 байтов
Описание: отсутствует
Url     : http://weborto.net:8080/pipermail/ortho/attachments/20091117/3942bddb/attachment-0006.jpg 
----------- УМЕДХЭБС ЮБУФШ -----------
Вложение не в текстовом формате было извлечено…
Имя     : SANY4880-1.jpg
Тип     : image/jpeg
Размер  : 62502 байтов
Описание: отсутствует
Url     : http://weborto.net:8080/pipermail/ortho/attachments/20091117/3942bddb/attachment-0007.jpg 
----------- УМЕДХЭБС ЮБУФШ -----------
Вложение не в текстовом формате было извлечено…
Имя     : SANY4882-1.jpg
Тип     : image/jpeg
Размер  : 53450 байтов
Описание: отсутствует
Url     : http://weborto.net:8080/pipermail/ortho/attachments/20091117/3942bddb/attachment-0008.jpg 
----------- УМЕДХЭБС ЮБУФШ -----------
Вложение не в текстовом формате было извлечено…
Имя     : SANY4883-1.jpg
Тип     : image/jpeg
Размер  : 51016 байтов
Описание: отсутствует
Url     : http://weborto.net:8080/pipermail/ortho/attachments/20091117/3942bddb/attachment-0009.jpg 


Подробная информация о списке рассылки Ortho