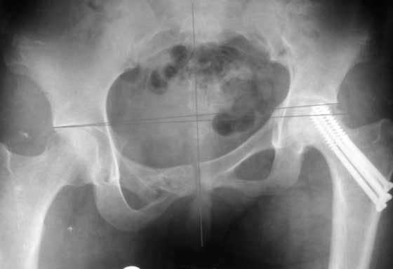
[Ortho] AVN of femoral head and fracture of the pelvis.

Maxim Agalakov orthoforum на weborto.net
Ср Ноя 18 23:06:46 YEKT 2009


До сих пор идут большие дискуссии по поводу высокого центра ротации и единого мнения, насколько я знаю, нет. Компенсация длины, рычагов ягодичных мышц и т.д., а уж при вертикальном смещении таза,влияние его на последующее эндопротезирование просто не узнать (слишком мало наблюдений и много факторов, влияющих на конечный результат). Фото лишний раз подтверждают, укорочение за счет контрактуры. 
Maxim Agalakov
----------- УМЕДХЭБС ЮБУФШ -----------
Вложение не в текстовом формате было извлечено…
Имя     : 172.jpg
Тип     : image/jpeg
Размер  : 10735 байтов
Описание: отсутствует
Url     : http://weborto.net:8080/pipermail/ortho/attachments/20091118/490748b0/attachment.jpg 


Подробная информация о списке рассылки Ortho