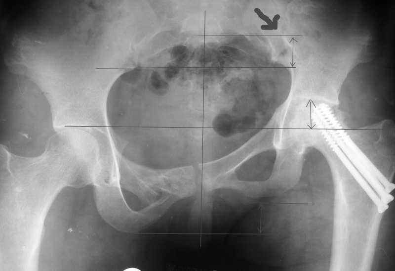
[Ortho] AVN of femoral head and fracture of the pelvis.

Рунков А.В. orthoforum на weborto.net
Ср Ноя 18 23:26:55 YEKT 2009


Привет, Макс. Не торопись, посмотри внимательно на истинную картину. Толстая стрелка указывает на нижний край смещенного кп сочленения.
Поэтому считаю, что Принять какое-либо решение без кт и дополнительных проекций неразумно.

РАВ

----------- УМЕДХЭБС ЮБУФШ -----------
Вложение не в текстовом формате было извлечено…
Имя     : почта1.jpg
Тип     : image/jpeg
Размер  : 36925 байтов
Описание: отсутствует
Url     : http://weborto.net:8080/pipermail/ortho/attachments/20091118/57827c12/attachment-0001.jpg 


Подробная информация о списке рассылки Ortho