[Ortho] Исход оперативного лечения остеобластокластомы бедра

Andrey Pulatov orthoforum на weborto.net
Чт Ноя 19 19:40:38 YEKT 2009


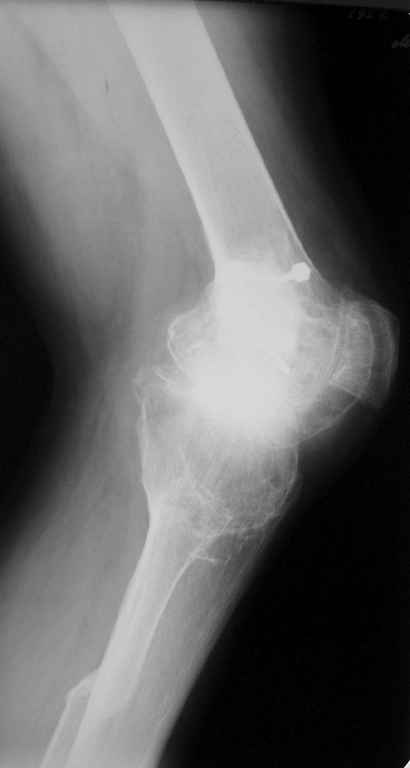
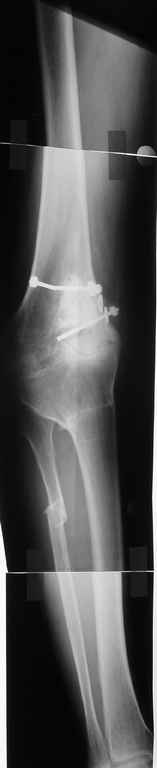
Пациент 59 лет, в 1982 году по поводу остеобластокластомы была выполнена частичная резекция проксимального отдела бедра с пластикой дефекта костно-хрящевым трансплантатом (моноблок)с фиксацией металлическими стяжками. 

В последующем по поводу деформирующего артроза выполнена корригирущая остеотомия большеберцовой кости. Исход представлен на рентгенограмме. В настоящий момент пациента беспокоят боли  в коленном суставе, деформация, и ограничение движений. Варусная деформация коленного сустава 20, движения сгибание 115, разгибание 150, ходит с тростью, выраженная хромота, работа не связана с физическими нагрузками. Правый коленный сустав без патологии. Уважаемые коллеги просим высказать своё мнение - артродез  коленного сустава или эндопротезирование.   

Andrey Pulatov
----------- УМЕДХЭБС ЮБУФШ -----------
Вложение не в текстовом формате было извлечено…
Имя     : 1.jpg
Тип     : image/jpeg
Размер  : 20889 байтов
Описание: отсутствует
Url     : http://weborto.net:8080/pipermail/ortho/attachments/20091119/079aee4a/attachment-0002.jpg 
----------- УМЕДХЭБС ЮБУФШ -----------
Вложение не в текстовом формате было извлечено…
Имя     : 2.jpg
Тип     : image/jpeg
Размер  : 19773 байтов
Описание: отсутствует
Url     : http://weborto.net:8080/pipermail/ortho/attachments/20091119/079aee4a/attachment-0003.jpg 


Подробная информация о списке рассылки Ortho