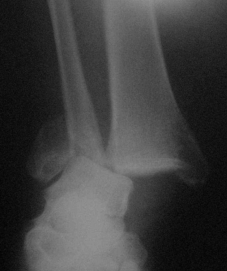
[Ortho] Застарелый перелом наружной лодыжки, разрыв дельтовидной связки, задне-наружный вывих стопы.

Евгений Данилов orthoforum на weborto.net
Пт Ноя 20 22:15:52 YEKT 2009


Сегодня, 19.11.09. поступила больная 37 лет с представленной рентгеновской картиной.
Анамнез травмы и заболевания следующий: 2.10.09 больная была направлена в приёмный покой с
Дз: закрытый перелом наружной лодыжки со смещением отломков. Больной при поступлении
выполнена закрытая репозиция, гипсовая иммобилизация U-образной лонгетой,
госпитализирована. На следующие сутки больная самовольно покинула отделение. Со слов
больной - лечилась дома самостоятельно, 15.11.09 вызвала хирурга на дом в связи с неприятным
запахом из под гипса, на дому хирург снял гипс, были отмечены нагноившиеся пролежни
циркулярно по задне-наружному краю стопы. Гипс был снят, проводилось местное лечение
хирургом на дому. Больная не пользовалась костылями, наступала на травмированную
конечность. После заживления ран направлена хирургом с Диагнозом: двухлодыжечный перелом
правой голени.

Дополнения к анамнезу: посттравматическая энцефалопатия, органическое
заболевание головного мозга, хронический гепатит "С". Ожирение. Предложены следующие
тактики лечения: 1. низведение стопы аппаратом. 2. артродезирование с использованием
аутотрансплантата, металлофиксация. 3 длительная гипсовая
иммобилизация. Либо одномоментное артродезирование с использованием
БИОС( ЭОПа нет и не будет, Гвоздь....б\у)Просим высказать ваше мнения
и предложения. 

Евгений Данилов
----------- УМЕДХЭБС ЮБУФШ -----------
Вложение не в текстовом формате было извлечено…
Имя     : PB190053.JPG
Тип     : image/jpeg
Размер  : 42583 байтов
Описание: отсутствует
Url     : http://weborto.net:8080/pipermail/ortho/attachments/20091120/1bb1141e/attachment-0001.jpeg 


Подробная информация о списке рассылки Ortho