[Ortho] Сочетанная травма

Андрей Мелешкин orthoforum на weborto.net
Сб Ноя 21 18:36:08 YEKT 2009


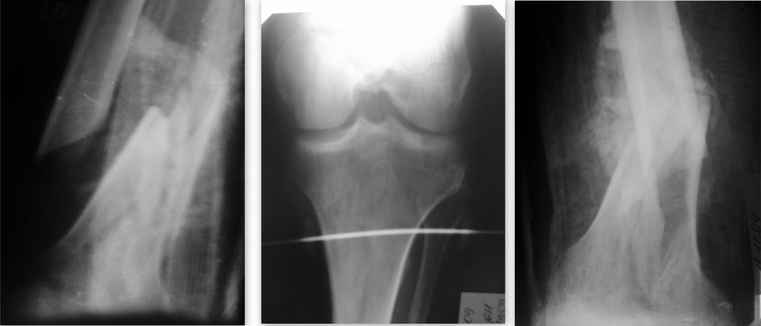
Тяжелая сочетанная травма от 25.09.09 (падение с 5-го эт. в АО

У б-го Тяжелая сочетанная травма от 25.09.09 Ушиб г\мозга. З\оскольчатый внутрисуставной
перелом л\бедра в н\3. О\оскольчатый внутрисуставной перелом п\бедра в н\3. Медиальный
перелом шейки п\бедра. Перелом лонной и седалищной костей справа.

  Кахексичен, в жизни алкоголизируется.

В данный момент ЧМТ невелирована до энцэфалопатии смешанного генеза.
Больной доступен продуктивному контакту. Пролежни разрешились. Рана открытого перелома
п\бедра зажила 1-м натяжением. Анализы нормализовались. Правая н\конечность сейчас в
укороченной гипсовой (циркулярной) повязке. На следующей неделе собираюсь синтезировать
левое бедро опорной мыщелковой пластиной с УС. Уважаемые коллеги! Предоставляю данный
случай на обсуждение. С уважением А.М.
Андрей Мелешкин
----------- УМЕДХЭБС ЮБУФШ -----------
Вложение не в текстовом формате было извлечено…
Имя     : 6.jpg
Тип     : image/jpeg
Размер  : 11163 байтов
Описание: отсутствует
Url     : http://weborto.net:8080/pipermail/ortho/attachments/20091121/b6d98a43/attachment.jpg 


Подробная информация о списке рассылки Ortho