[Ortho]

Zadneprovskiy Nikita nikita2009 krasmail.ru
23 19:41:35 YEKT 2009


Уважаемые коллеги.

В июне 2009 года, при рассверливании канала произошел ожог передней стенки ББК.
Со  слов  оперировавшего  хирурга:  «  Не  обратил внимания на то, что
головка римера уперлась,и спохватился только в тот момент, когда, прямо на глазах,
появилась яркая гиперемия кожи над этим местом».
Никаких действий по этому поводу не предпринималось. (Интересно, а что можно было бы осуществить в таком случае?).
Операция была закончена, пациент выписан. 
Вскоре образовался некроз,  пациент лечился в стационаре.
Попытка хирурга, закрыть дефект ротационным кожным лоскутом,  не увенчалась успехом. Больной выписан.

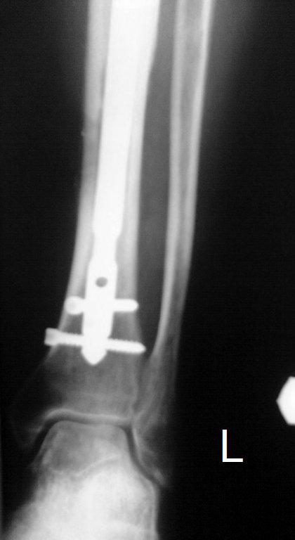
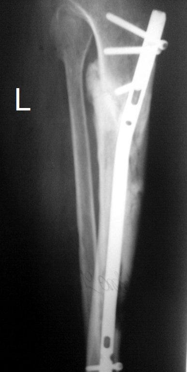
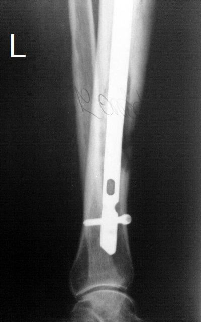
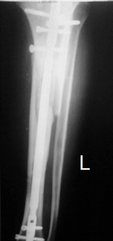
Итак, в настоящий момент больной пришел к нам с полной нагрузкой на оперированную конечность и с такой картиной
(см. приложение). Участок мягких тканей, с передней стенкой  нижней трети ББК, выгнил и представляет дефект
2×2,5 см. На перевязке - циркулярный(?) некроз костной трубки. 

Пациенту за 70 лет. 

Мои соображения:

1  этап  -  резекция  tibia  +  косая  остеотомия  fibula  +  «острое» укорочение + IM цементгвоздь с а/б + beads.

2 этап (по заживлению раны) – удаление цементгвоздя + (LATN) Lengthening and Then Nailing.

Прошу помощи по тактике.



Никита Заднепровский




-- 
С уважением,
 Zadneprovskiy
-----------   -----------
Вложение не в текстовом формате было извлечено…
Имя     : tibia 01.JPG
Тип     : image/jpeg
Размер  : 66599 байтов
Описание: отсутствует
Url     : http://weborto.net:8080/pipermail/ortho/attachments/20091123/dddb0a2c/attachment-0008.jpeg 
-----------   -----------
Вложение не в текстовом формате было извлечено…
Имя     : tibia 02.JPG
Тип     : image/jpeg
Размер  : 57204 байтов
Описание: отсутствует
Url     : http://weborto.net:8080/pipermail/ortho/attachments/20091123/dddb0a2c/attachment-0009.jpeg 
-----------   -----------
Вложение не в текстовом формате было извлечено…
Имя     : tibia 03.JPG
Тип     : image/jpeg
Размер  : 67973 байтов
Описание: отсутствует
Url     : http://weborto.net:8080/pipermail/ortho/attachments/20091123/dddb0a2c/attachment-0010.jpeg 
-----------   -----------
Вложение не в текстовом формате было извлечено…
Имя     : necrosis.JPG
Тип     : image/jpeg
Размер  : 47433 байтов
Описание: отсутствует
Url     : http://weborto.net:8080/pipermail/ortho/attachments/20091123/dddb0a2c/attachment-0011.jpeg 
-----------   -----------
Вложение не в текстовом формате было извлечено…
Имя     : tibLAT01.JPG
Тип     : image/jpeg
Размер  : 31351 байтов
Описание: отсутствует
Url     : http://weborto.net:8080/pipermail/ortho/attachments/20091123/dddb0a2c/attachment-0012.jpeg 
-----------   -----------
Вложение не в текстовом формате было извлечено…
Имя     : tibAP01.JPG
Тип     : image/jpeg
Размер  : 30590 байтов
Описание: отсутствует
Url     : http://weborto.net:8080/pipermail/ortho/attachments/20091123/dddb0a2c/attachment-0013.jpeg 
-----------   -----------
Вложение не в текстовом формате было извлечено…
Имя     : tibAP00.JPG
Тип     : image/jpeg
Размер  : 25574 байтов
Описание: отсутствует
Url     : http://weborto.net:8080/pipermail/ortho/attachments/20091123/dddb0a2c/attachment-0014.jpeg 
-----------   -----------
Вложение не в текстовом формате было извлечено…
Имя     : tibLAT00.JPG
Тип     : image/jpeg
Размер  : 30885 байтов
Описание: отсутствует
Url     : http://weborto.net:8080/pipermail/ortho/attachments/20091123/dddb0a2c/attachment-0015.jpeg 


Ortho