[Ortho]

Artemiev alex_artemiev mail.ru
24 18:20:30 YEKT 2009


Здравствуйте, Никита и все-все...
Целиком поддержу мнение Павла Иванова.
> Я бы, наверное, после удаления штифта сосредоточился на определения
> жизнеспособности кости по задней поверхности. Если будут сомнения, то я бы сделал резекцию.
Определение жизнеспособности кости или, точнее, Ваше мнение по поводу
жизнеспособности кости является определяющим в тактике лечения.
Я бы не сосредотачивался на сохранении задней стенки, ища прямые или
косвенные признаки её жизнеспособности, а сразу пошел на резекцию.
Тем более у Вас нет обязательств перед больным (не Вы же делали первую
операцию)и, соответственно, голова холодная...

Радикальная резекция и одномоментное (или даже постепенное) сближение (acute
shortening, следуя Вашей лексике) приведут к полному смыканию краев
раны и избавят Вас от хлопот с санацией и закрытием раны. Она
закроется сама в течение 1,5 мес.
При этом можете одновременно пойти на удлинение в проксимальном
отделе, используя любые известные Вам (и нам) методики.
Лично мне никогда не нравилась тактика низведения фрагментов, а после
плотного знакомства с работами Александра Лернера я стал однозначным
сторонником тактики острого укорочения, используя её не только в
свежих случаях, но и в застарелых, и даже совсем застарелых...

Добавляю свой пятак, не дожидаясь завершения случая, который
приберегал "на третье". Выбрал фото мягких тканей.
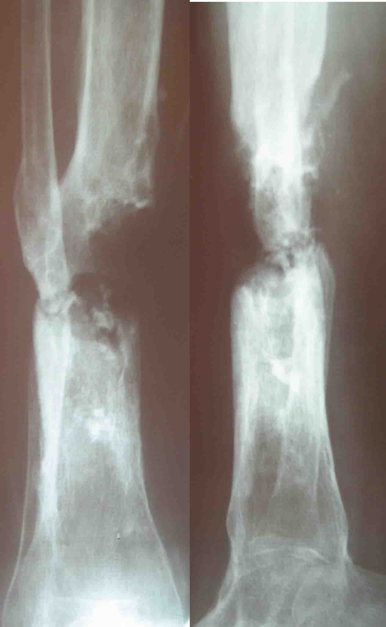
Кратко: мужчина за 60 лет получил травму 28 лет назад (переехало
автобусом). Оперировался десятки раз, в итоге с очередным
патологическим переломом, хронической язвой и гипсовой лонгетой попал
ко мне... Объективно - остеомиелит, инфицированный ложный сустав (или
как его назвать), остеосмиелит, флегмона по наружной поверхности
голени, укорочение около 5 см.
На операции резекция 8 см, внешний остеосинтез,одновременное сближение
 примерно на 4 см, а затем постепенное сближение до полного контакта в
 течение 3 недель. Рана с патологически измененными краями, имевшая на
 операции размеры примерно 4-5 на 10-12 см закрылась самостоятельно в
 течение примерно 2-х мес. Ну не самостоятельно, конечно, а с нашей
 помощью, но без пластики.
 Сейчас в аппрате вытянул около 6 см в верхней трети.

 Желаю удачи.
 С уважением Александр Артемьев



-- 
С уважением,
 Artemiev                          mailto:alex_artemiev  mail.ru
-----------   -----------
Вложение не в текстовом формате было извлечено…
Имя     : Рентген до операции.jpg
Тип     : image/jpeg
Размер  : 47293 байтов
Описание: отсутствует
Url     : http://weborto.net:8080/pipermail/ortho/attachments/20091124/3b4080b6/attachment-0006.jpg 
-----------   -----------
Вложение не в текстовом формате было извлечено…
Имя     : Внешний вид до операции.jpg
Тип     : image/jpeg
Размер  : 52613 байтов
Описание: отсутствует
Url     : http://weborto.net:8080/pipermail/ortho/attachments/20091124/3b4080b6/attachment-0007.jpg 
-----------   -----------
Вложение не в текстовом формате было извлечено…
Имя     : Операция резекция около 8 см.jpg
Тип     : image/jpeg
Размер  : 59119 байтов
Описание: отсутствует
Url     : http://weborto.net:8080/pipermail/ortho/attachments/20091124/3b4080b6/attachment-0008.jpg 
-----------   -----------
Вложение не в текстовом формате было извлечено…
Имя     : Сближение на 4 см на операции.jpg
Тип     : image/jpeg
Размер  : 46054 байтов
Описание: отсутствует
Url     : http://weborto.net:8080/pipermail/ortho/attachments/20091124/3b4080b6/attachment-0009.jpg 
-----------   -----------
Вложение не в текстовом формате было извлечено…
Имя     : Полный контакт через 1 мес после операции.jpg
Тип     : image/jpeg
Размер  : 68663 байтов
Описание: отсутствует
Url     : http://weborto.net:8080/pipermail/ortho/attachments/20091124/3b4080b6/attachment-0010.jpg 
-----------   -----------
Вложение не в текстовом формате было извлечено…
Имя     : Внешний вид через 1,5 мес.jpg
Тип     : image/jpeg
Размер  : 76431 байтов
Описание: отсутствует
Url     : http://weborto.net:8080/pipermail/ortho/attachments/20091124/3b4080b6/attachment-0011.jpg 


Ortho