[Ortho] Осложненный перелом таза

Бережной Сергей orthoforum на weborto.net
Ср Ноя 25 10:43:11 YEKT 2009


Уважаемые коллеги.

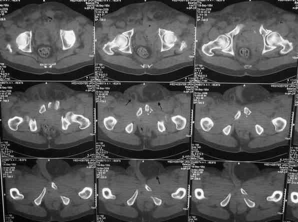
Пациент 55 лет, монтажник, травма 21.11.09 - на левое бедро обрушилась стена канавы 3м глубины.

У больного оскольчатые переломы левых лонной и седалищной костей со
смещением отломков, разрывом симфиза и распространением линии перелома
на вертлужную впадину; переломы крыла левой подвздошной кости и правой
боковой массы крестца без смещения; разрыв уретры. За последние годы
пациент 6 раз был оперирован на передней брюшной стенке (гнойный
аппендицит, вентральная грыжа, паховые грыжи - по 2 операции с обеих
сторон). Остались 3 грубых втянутых рубца после этих операций. В
настоящее время имеются 2 паховомошоночные грыжи, левая - значительных
размеров (на одной из КТ-грамм указаны стрелками). Мошонка огромная,
но не напряженная.         
На сегодняшний день состояние больного относительно
удовлетворительное. Кровопотеря компенсирована. Мочевой пузырь
катетеризирован.
Прошу мнения сообщества по следующим вопросам: выполнять ли в таких
условиях остеосинтез? Если да, то в какой последовательности (отдельно
или одним этапом с герниотомией)? Объем остеосинтеза? Доступ?
 
Бережной Сергей

----------- УМЕДХЭБС ЮБУФШ -----------
Вложение не в текстовом формате было извлечено…
Имя     : P1050045.jpg
Тип     : image/jpeg
Размер  : 15308 байтов
Описание: отсутствует
Url     : http://weborto.net:8080/pipermail/ortho/attachments/20091125/e8c63502/attachment-0004.jpg 
----------- УМЕДХЭБС ЮБУФШ -----------
Вложение не в текстовом формате было извлечено…
Имя     : P1050048.jpg
Тип     : image/jpeg
Размер  : 27221 байтов
Описание: отсутствует
Url     : http://weborto.net:8080/pipermail/ortho/attachments/20091125/e8c63502/attachment-0005.jpg 
----------- УМЕДХЭБС ЮБУФШ -----------
Вложение не в текстовом формате было извлечено…
Имя     : P1050050.jpg
Тип     : image/jpeg
Размер  : 22933 байтов
Описание: отсутствует
Url     : http://weborto.net:8080/pipermail/ortho/attachments/20091125/e8c63502/attachment-0006.jpg 
----------- УМЕДХЭБС ЮБУФШ -----------
Вложение не в текстовом формате было извлечено…
Имя     : P1050056.jpg
Тип     : image/jpeg
Размер  : 22852 байтов
Описание: отсутствует
Url     : http://weborto.net:8080/pipermail/ortho/attachments/20091125/e8c63502/attachment-0007.jpg 


Подробная информация о списке рассылки Ortho