[Ortho] застарелый открытый многооскольчатый перелом бедренной кости

Николов Олег orthoforum на weborto.net
Пт Ноя 27 23:25:44 YEKT 2009


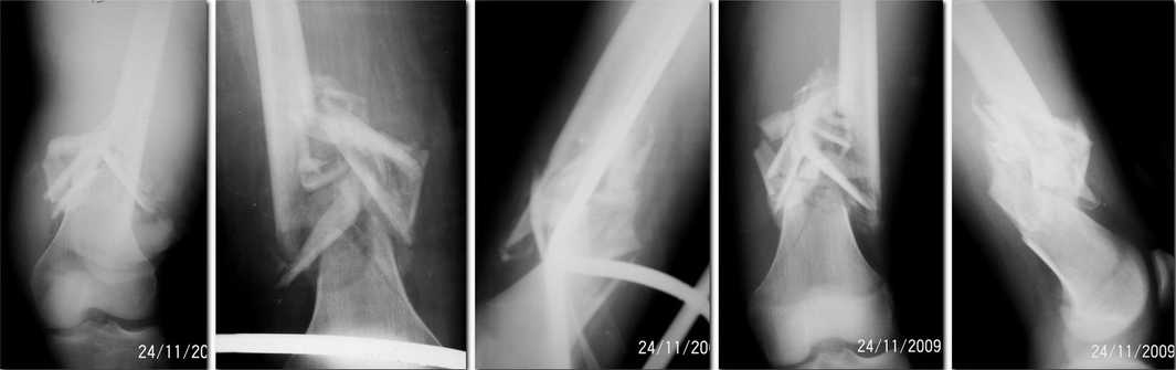
Уважаемые коллеги! Пациент 17-ти лет, был сбит электричкой 10.10.09. Основную проблему
составил открытый мелкооскольчатый перелом н/3 правой бедренной кости. Мелкие сочетанные
повреждения - СГМ, мелкие раны, вывих плеча... По наружной поверхности правого бедра в
проекции перелома определялась обширная рана неправильной формы до 20см с разможжением
мягких тканей. Рана была ушита, дренирована, заживала вторично с умеренным нагноением,
находился на скелетном вытяжении. Долго мальчика пылались перевести в МОДОХБ, затем в
ведомственную больницу по месту работы родителей... и когда все от него отказались - он
достался мне. В настоящее время подвижности в зоне перелома уже нет, но наружной поверхности
правого бедра грубый Г-образный рубец с небольшими участками грануляций. Снимки говорят
сами. Планируем БИОС ретроградно с открытой репозицией. Господа, поделитесь опытом. Не
стоит ли дополнить покрытием штифта цементом с антибиотиком? Уровень проведения
дистальных блокирующих винтов с учетом сохраняющейся зоны роста? Использование
дистрактора?
Николов Олег
----------- УМЕДХЭБС ЮБУФШ -----------
Вложение не в текстовом формате было извлечено…
Имя     : 11.jpg
Тип     : image/jpeg
Размер  : 20631 байтов
Описание: отсутствует
Url     : http://weborto.net:8080/pipermail/ortho/attachments/20091127/8079b58c/attachment-0001.jpg 


Подробная информация о списке рассылки Ortho