[Ortho] Сочетанная травма

Андрей Мелешкин orthoforum на weborto.net
Вс Ноя 29 12:07:27 YEKT 2009


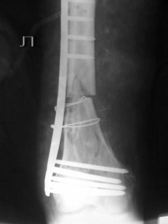
Пациенту 50 лет. 24.11.09 сделали л\бедро.
Андрей Мелешкин

----------- УМЕДХЭБС ЮБУФШ -----------
Вложение не в текстовом формате было извлечено…
Имя     : PB254033.jpg
Тип     : image/jpeg
Размер  : 11437 байтов
Описание: отсутствует
Url     : http://weborto.net:8080/pipermail/ortho/attachments/20091129/28d719e6/attachment-0001.jpg 


Подробная информация о списке рассылки Ortho