[Ortho] Огнестрельный перелом бедра [1/3]

Никита Заднепровский orthoforum на weborto.net
Сб Окт 10 02:02:47 YEKST 2009


Уважаемые коллеги, по приглашению Сент Луисского Университета, я прохожу стажировку в университетском госпитале (St. Louis University Hospital). 

Мне представился очень интересный случай,  где довелось стать ассистентом на операции, которую проводил всеми нами уважаемый, профессор Джолдас Кульджанов.<br><br>

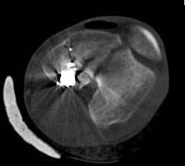
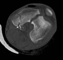
У молодого человека огнестрельное слепое ранение н/3 правого бедра. Поступил в клинику с внутрисуставным многооскольчатым Т-отразным переломом дистального отдела бедренной кости. Дополнительно на  СТ-исследовании обнаружен перелом внутреннего мыщелка Hoffa со смещением.<br><br>

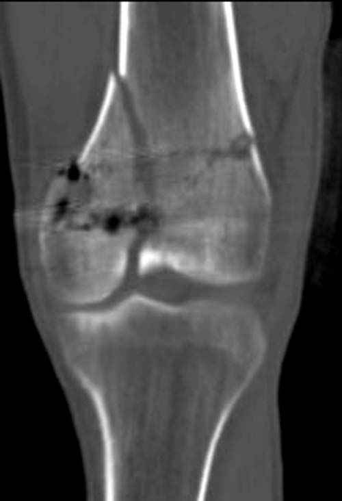
Больной взят в операционную на второй день, где из небольшого медиального доступа выполнена артротомия коленного сустава. Произведена репозиция отломков, фиксация винтами. Попутно удалена пуля. Первым делом была достигнута репозиция медиального мыщелка (перелома Hoffa, где коронарная плоскость перелома трудно поддается закрытой репозиции и фиксации. ) Затем была достигнута идеальная репозиция суставной поверхности бедра и фиксация компрессирующими headless  screws.<br><br>

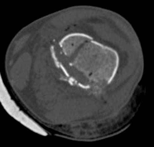
Дистальный отдел бедра был дополнительно фиксирован buttress пластиной с медиальной стороны из того же разреза. Для усиления фиксации латеральной колонны -  с латеральной стороны закрытым способом из минидоступа установлена еще buttress plate.  Пулевой канал дополнительно не подвергался хирургической обработке.<br><br>

Итак, пациент поступает 04 октября, оперирован 05 октября, выписан сегодня 08 октября на амбулаторное долечивание. 5 суток на все про все.<br><br>

Заднепровский Никита
----------- УМЕДХЭБС ЮБУФШ -----------
Вложение не в текстовом формате было извлечено&hellip;
Имя     : GSW condilar 20.jpg
Тип     : image/jpeg
Размер  : 22623 байтов
Описание: отсутствует
Url     : http://weborto.net:8080/pipermail/ortho/attachments/20091010/ab92b6c1/attachment-0005.jpg 
----------- УМЕДХЭБС ЮБУФШ -----------
Вложение не в текстовом формате было извлечено&hellip;
Имя     : GSW condilar 24.jpg
Тип     : image/jpeg
Размер  : 17076 байтов
Описание: отсутствует
Url     : http://weborto.net:8080/pipermail/ortho/attachments/20091010/ab92b6c1/attachment-0006.jpg 
----------- УМЕДХЭБС ЮБУФШ -----------
Вложение не в текстовом формате было извлечено&hellip;
Имя     : GSW condilar 25.jpg
Тип     : image/jpeg
Размер  : 15976 байтов
Описание: отсутствует
Url     : http://weborto.net:8080/pipermail/ortho/attachments/20091010/ab92b6c1/attachment-0007.jpg 
----------- УМЕДХЭБС ЮБУФШ -----------
Вложение не в текстовом формате было извлечено&hellip;
Имя     : GSW condilar 26.jpg
Тип     : image/jpeg
Размер  : 24413 байтов
Описание: отсутствует
Url     : http://weborto.net:8080/pipermail/ortho/attachments/20091010/ab92b6c1/attachment-0008.jpg 
----------- УМЕДХЭБС ЮБУФШ -----------
Вложение не в текстовом формате было извлечено&hellip;
Имя     : GSW condilar 27.jpg
Тип     : image/jpeg
Размер  : 22034 байтов
Описание: отсутствует
Url     : http://weborto.net:8080/pipermail/ortho/attachments/20091010/ab92b6c1/attachment-0009.jpg 


Подробная информация о списке рассылки Ortho