[Ortho] Огнестрельный перелом бедра

Бережной Сергей orthoforum на weborto.net
Вт Окт 13 00:32:12 YEKST 2009


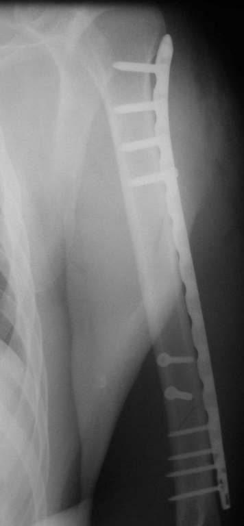
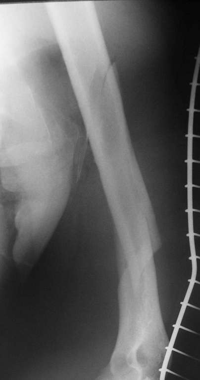
Позвольте привести пример из собственной московской практики в поддержку тактики, приведенной в данном примере. Пациент переведен из одной из московских клиник на 3 сутки после сквозного огнестрельного ранения плеча(пистолет)с ушитыми узловыми швами и дренированными резиновым выпускником ранами на внутренней поверхности плеча с умеренным серозногнойным отделяемым и похожей раной на задненаружной поверхности грудной клетки (пуля прошла через плечо и остановилась в мышцах спины). Также имелись реактивный локтевой бурсит и нейропатия локтевого нерва. При поступлении были сняты швы, начата антибиотикотерапия. Через сутки после травмы пациент прооперирован: выполнена повторная хирургическая обработка ран плеча и грудной клетки. Через отдельные доступы на наружной поверхности плеча произведен минимально инвазивный остеосинтез плечевой кости блокируемой метадиафизарной пластиной. Пациент выписан на 4 сутки после операции. Дальнейшее течение гладкое, все раны зажили первичным натяжением. Еще раз пациент был госпитализирован через 4 месяца после операции с переломом этого же плеча на границе средней и дистальной третей: коллеги по криминальному ремеслу применили к нему слишком жесткие меры убеждения. Выполнен остеосинтез путем замены и добавления винтов в дистальной части пластины. Госпитализация 2 суток. К сожалению, последние снимки не сохранились.
Бережной Сергей
----------- УМЕДХЭБС ЮБУФШ -----------
Вложение не в текстовом формате было извлечено…
Имя     : DSCN4504.JPG
Тип     : image/jpeg
Размер  : 10358 байтов
Описание: отсутствует
Url     : http://weborto.net:8080/pipermail/ortho/attachments/20091013/79fc3098/attachment-0001.jpe 
----------- УМЕДХЭБС ЮБУФШ -----------
Вложение не в текстовом формате было извлечено…
Имя     : DSCN4516.JPG
Тип     : image/jpeg
Размер  : 14016 байтов
Описание: отсутствует
Url     : http://weborto.net:8080/pipermail/ortho/attachments/20091013/79fc3098/attachment-0001.jpeg 


Подробная информация о списке рассылки Ortho