[Ortho] Застарелый пилон

Djoldas Kuldjanov orthoforum на weborto.net
Сб Окт 17 12:28:16 YEKST 2009


По снимкам довольно сохранный сустав, и такой сустав желательно попытаться восстановить всеми возможными мерами.

Артродез штифтом от Синтеза - немного агрессивно, а для улучшения качества жизни вместо артродеза голеностопа можно было бы предложить артродез подтаранного сустава. Тремя 6.5 мм каннюлированными шурупами через пятку.

 
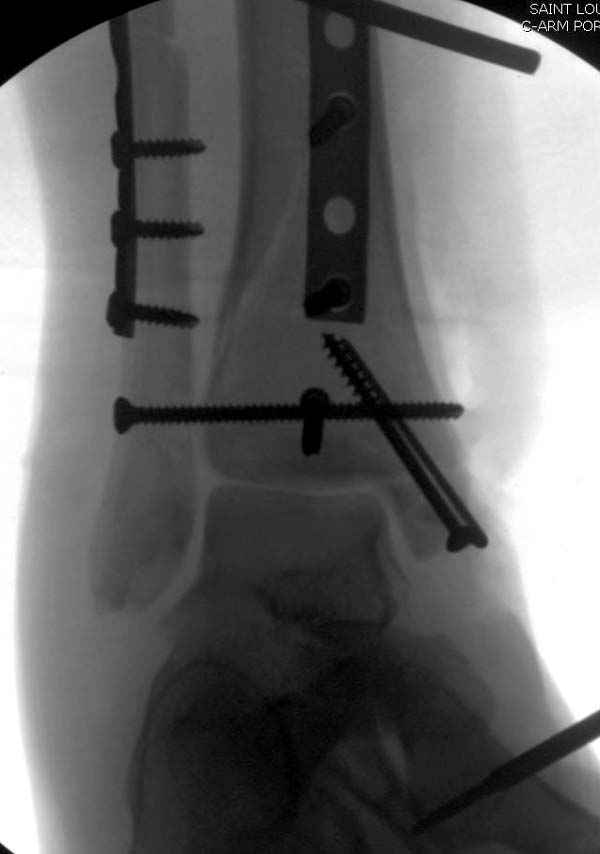
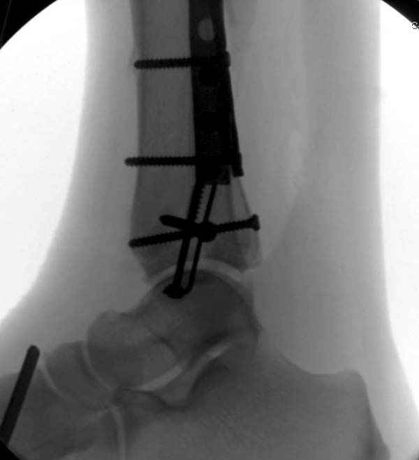
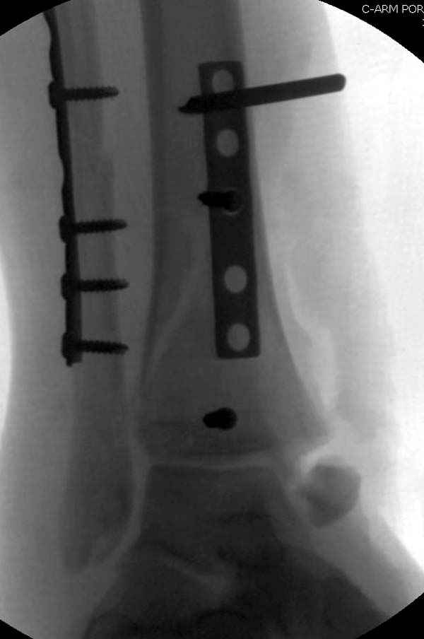
Насчет пилона, прошло достаточное время для консолидации и прекрасная возможность для демонстрации, что такие случаи могут быть успешно вылечены остеотомией, несмотря на засторелость.

Из заднего доступа остеотомия тонким остеотомом и коррекции на ЭОПе.

Без применения сложной конструкции, а обычными параллельными шурупами. Шурупы в 3.5 мм и дополнительно фиксация крючковидной пластиной, сделанной из 3.5 mm semitubular пластиной, Butress или аntiglade фиксация.

Здесь алгоритм фиксации свежего перелома и преоперационный план для обсуждаемого случая.


Djoldas Kuldjanov, MD
Department of Orthopedic Surgery
St. Louis University Medical Center
----------- УМЕДХЭБС ЮБУФШ -----------
Вложение не в текстовом формате было извлечено…
Имя     : pilon 2.jpg
Тип     : image/jpeg
Размер  : 23257 байтов
Описание: отсутствует
Url     : http://weborto.net:8080/pipermail/ortho/attachments/20091017/cfd864f5/attachment-0007.jpg 
----------- УМЕДХЭБС ЮБУФШ -----------
Вложение не в текстовом формате было извлечено…
Имя     : pilon 3.jpg
Тип     : image/jpeg
Размер  : 28077 байтов
Описание: отсутствует
Url     : http://weborto.net:8080/pipermail/ortho/attachments/20091017/cfd864f5/attachment-0008.jpg 
----------- УМЕДХЭБС ЮБУФШ -----------
Вложение не в текстовом формате было извлечено…
Имя     : pilon 4.jpg
Тип     : image/jpeg
Размер  : 29154 байтов
Описание: отсутствует
Url     : http://weborto.net:8080/pipermail/ortho/attachments/20091017/cfd864f5/attachment-0009.jpg 
----------- УМЕДХЭБС ЮБУФШ -----------
Вложение не в текстовом формате было извлечено…
Имя     : pilon 5.jpg
Тип     : image/jpeg
Размер  : 22746 байтов
Описание: отсутствует
Url     : http://weborto.net:8080/pipermail/ortho/attachments/20091017/cfd864f5/attachment-0010.jpg 
----------- УМЕДХЭБС ЮБУФШ -----------
Вложение не в текстовом формате было извлечено…
Имя     : pilon CRM 1.jpg
Тип     : image/jpeg
Размер  : 28153 байтов
Описание: отсутствует
Url     : http://weborto.net:8080/pipermail/ortho/attachments/20091017/cfd864f5/attachment-0011.jpg 
----------- УМЕДХЭБС ЮБУФШ -----------
Вложение не в текстовом формате было извлечено…
Имя     : pilon reconsruction 1.jpg
Тип     : image/jpeg
Размер  : 56914 байтов
Описание: отсутствует
Url     : http://weborto.net:8080/pipermail/ortho/attachments/20091017/cfd864f5/attachment-0012.jpg 
----------- УМЕДХЭБС ЮБУФШ -----------
Вложение не в текстовом формате было извлечено…
Имя     : pilon reconsruction 2.jpg
Тип     : image/jpeg
Размер  : 58674 байтов
Описание: отсутствует
Url     : http://weborto.net:8080/pipermail/ortho/attachments/20091017/cfd864f5/attachment-0013.jpg 


Подробная информация о списке рассылки Ortho