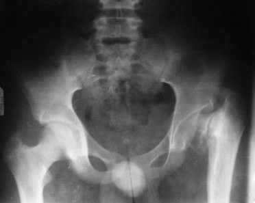
[Ortho] дисплазия тазобедренного сустава

шухрат orthoforum на weborto.net
Сб Окт 17 13:25:09 YEKST 2009


отправка снимков
шухрат
----------- УМЕДХЭБС ЮБУФШ -----------
Вложение не в текстовом формате было извлечено…
Имя     : PICT0229.JPG
Тип     : image/jpeg
Размер  : 36394 байтов
Описание: отсутствует
Url     : http://weborto.net:8080/pipermail/ortho/attachments/20091017/f1ae0516/attachment-0002.jpeg 
----------- УМЕДХЭБС ЮБУФШ -----------
Вложение не в текстовом формате было извлечено…
Имя     : PICT0231.JPG
Тип     : image/jpeg
Размер  : 30552 байтов
Описание: отсутствует
Url     : http://weborto.net:8080/pipermail/ortho/attachments/20091017/f1ae0516/attachment-0003.jpeg 


Подробная информация о списке рассылки Ortho