[Ortho] Ложный сустав бедра - мнения по татктике

Artemiev alex_artemiev на mail.ru
Сб Окт 17 16:53:32 YEKST 2009


Здравствуйте, коллеги.
Нашлись старые рентгенограммы пациентки, в лечении которой мне
интересно было Ваше мнение.
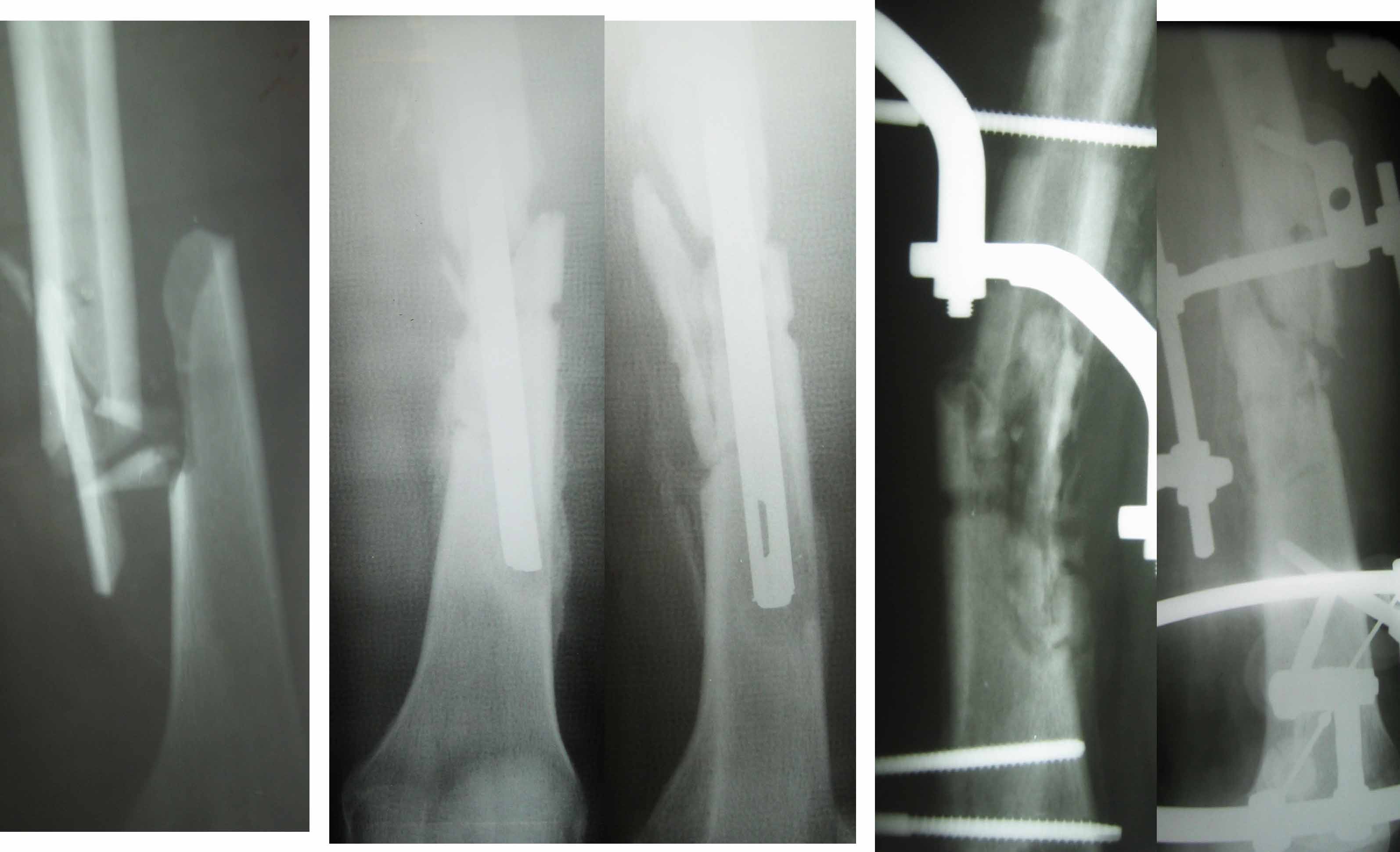
1. Перелом был закрытый оскольчатый, репозиция - открытая, первичный остеосинтез
-интрамедуллярный, нестабильный, дополненный кокситной повязкой.
Насколько стержень удален от коленного сустава, на столько же он и
выстоял из вертела - примерно на 8 см. Видимо, штифт заклинило в
проксимальном отломке при введении.
2. При отсутствии откровенных признаков инфекции (первичное заживление,
нормальная температура), и в то же время при такой "вуали" на
рентгенограммах (через 3 мес после операции) можно было предположить
наличие какого-либо, возможно, асептического вопспаления, связанного
с траматичностью открытой репозиции, обширным скелетированием
отломков, а также нестабильностью фиксации.
3. Извлечение штифта и переход на внешнюю фиксацию предполагал
создание компрессии, стабильной фиксации и, возможно, активизации
остеогенеза. В иные периоды казалось, что сращение происходит.
4. В настоящее время свищ закрылся, взятый из него неделей раньше
посев - стерильный. Температура - субфебрильная в середине дня. Вполне допустима мысль об инородном теле,
оставленном во время первой операции.
5. В ближайшие недели планируем с Павлом Ивановым пойти на операцию -
открытая ревизия, возможно, резекция кости и интрамедуллярный
остеосинтез с антибиотическим цементом.
Спасибо вам всем. Продолжение следует.
 С уважением Александр Артемьев
 PS. Кстати, я думаю, если бы пациентке предложили объективный выбор с
 учетом всех достоинств, недостатков и особенностей различных видов
 лечения, она бы предпочла месяца три полежать на скелетном вытяжении
 до консолидации пусть даже с небольшим смещением. Пока она лечится
 всего лишь второй год. Думаю, я бы тоже
 предпочел консервативное лечение в 60% обсуждаемых здесь случаев.
-- 
С уважением,
 Artemiev                          mailto:alex_artemiev на mail.ru
----------- следущая часть -----------
Вложение не в текстовом формате было извлечено…
Имя     : Ложный сустав.jpg
Тип     : image/jpeg
Размер  : 195708 байтов
Описание: отсутствует
Url     : http://weborto.net:8080/pipermail/ortho/attachments/20091017/b5c69d4d/attachment-0001.jpg 


Подробная информация о списке рассылки Ortho