[Ortho] Остеопороз

Юрий Алексеевич Булахтин orthoforum на weborto.net
Ср Окт 28 15:53:41 YEKT 2009


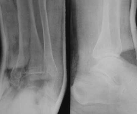
Уважаемые коллеги! Обратилась больная 62-х лет.
Перелом в быту - запнулась о порог в комнате, подвернула стопу.
Рекомендуем первичный артродез.Хотелось-бы услышать мнения по тактике
лечения и способу фиксации. 

Юрий Алексеевич Булахтин,
главный травматолог Камчатского
Военно-морского госпиталя
----------- УМЕДХЭБС ЮБУФШ -----------
Вложение не в текстовом формате было извлечено…
Имя     : 1.JPG
Тип     : image/jpeg
Размер  : 17142 байтов
Описание: отсутствует
Url     : http://weborto.net:8080/pipermail/ortho/attachments/20091028/501859d4/attachment-0001.jpeg 


Подробная информация о списке рассылки Ortho