[Ortho] Сросшийся со смещением чрез-подвертельный перелом

Korobushkin G gleb на gelios.net
Сб Окт 31 14:43:15 YEKT 2009


Коллеги!

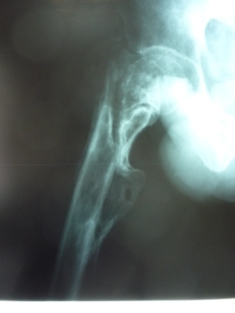
Больной Н. 44 года травма 1,5 года назад июнь 2008 года чрез-под вертельный  перелом правого бедра. Во время лечения у больного развился алк делирий,  проводилось консертативное лечение перелома.



Осмотрен 30.10.09.

Беспокоят боли, укорочение конечности.

Укорочение 3 см. Ногу поднимает,  сгибание ограничено, ротационные движения в полном объеме.

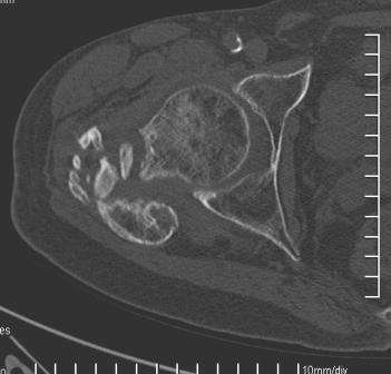
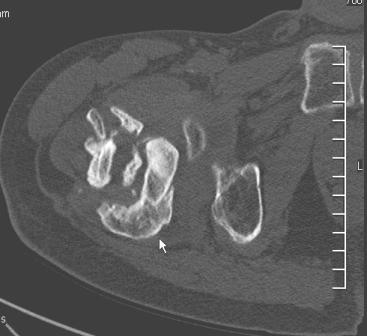
На КТ перелом сросся за счет костной мозоли.

Что делать?

Протез? Если <да> Можно ли обойтись стандартной ножкой Corail? 

Или межвертельная остеотомия? 

С ув Коробушкин Г
----------- следущая часть -----------
Вложение в формате HTML было извлечено&hellip;
URL: http://weborto.net:8080/pipermail/ortho/attachments/20091031/648c544e/attachment-0001.htm 
----------- следущая часть -----------
Вложение не в текстовом формате было извлечено&hellip;
Имя     : уменьш.JPG
Тип     : image/jpeg
Размер  : 21249 байтов
Описание: отсутствует
Url     : http://weborto.net:8080/pipermail/ortho/attachments/20091031/648c544e/attachment-0002.jpeg 
----------- следущая часть -----------
Вложение не в текстовом формате было извлечено&hellip;
Имя     : уменьш (1).JPG
Тип     : image/jpeg
Размер  : 53719 байтов
Описание: отсутствует
Url     : http://weborto.net:8080/pipermail/ortho/attachments/20091031/648c544e/attachment-0003.jpeg 
----------- следущая часть -----------
Вложение не в текстовом формате было извлечено&hellip;
Имя     : уменьш (2).jpg
Тип     : image/jpeg
Размер  : 16799 байтов
Описание: отсутствует
Url     : http://weborto.net:8080/pipermail/ortho/attachments/20091031/648c544e/attachment-0004.jpg 
----------- следущая часть -----------
Вложение не в текстовом формате было извлечено&hellip;
Имя     : уменьш (3).jpg
Тип     : image/jpeg
Размер  : 16060 байтов
Описание: отсутствует
Url     : http://weborto.net:8080/pipermail/ortho/attachments/20091031/648c544e/attachment-0005.jpg 
----------- следущая часть -----------
Вложение не в текстовом формате было извлечено&hellip;
Имя     : уменьш (4).jpg
Тип     : image/jpeg
Размер  : 14957 байтов
Описание: отсутствует
Url     : http://weborto.net:8080/pipermail/ortho/attachments/20091031/648c544e/attachment-0006.jpg 
----------- следущая часть -----------
Вложение не в текстовом формате было извлечено&hellip;
Имя     : уменьш (5).jpg
Тип     : image/jpeg
Размер  : 18274 байтов
Описание: отсутствует
Url     : http://weborto.net:8080/pipermail/ortho/attachments/20091031/648c544e/attachment-0007.jpg 


Подробная информация о списке рассылки Ortho