[Ortho] очередной посттравматический артроз голеностопного сустава

Батал Шушания orthoforum на weborto.net
Пт Сен 4 01:52:24 YEKST 2009


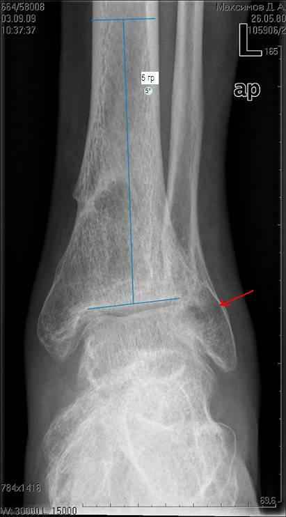
Здравствуйте коллеги. Представляю молодого человека 28 лет, получившего травму в апреле
2008года.

Травму он получил на работе, левая голень со стопой оказались зажатыми между двумя тяжелыми
предметами. В результате открытые переломы 1,2,3 плюсневых костей с размозжением мягких
тканей над ними, открытый перелом наружней лодыжки со смещением дистального отломка кзади и
подвывихом стопы кнаруже с размозжением мягких тканей над лодыжкой, закрытые переломы
внутренней лодыжки и дистального метэпифиза большеберцовой кости. Учитывая наличие
размозжения тканей стопы и области голеностопного сустава лечили в аппарате внешней
фиксации. Перелома срослись, однако имеет место незначительный подвывих стопы кнаруже и
неправильно сросшийся отломок наржной лодыжки (смещен кзади) Сегодня пациента ничего не
беспокоит (с его слов. Клинически левый голеностопный сустав не отечный,пальпация всех
структур данного сустава безболезненна. Имеет место ограничение тыльного сгибания стопы
(сгибание к тылу стопы составляет до 10-15 гр), в связи с этим имеет место гиперподвижность в
суставе Шопара. Пациент ходит со стельками (индивидуальные). Нужна ли пациенту
реконструктивная операция в голеностопном суставе:исправление в взаимоотношений в
наружних отделах голеностопного сустава или что еще?
С уважением Батал Шушания.
----------- УМЕДХЭБС ЮБУФШ -----------
Вложение не в текстовом формате было извлечено…
Имя     : 1.JPG
Тип     : image/jpeg
Размер  : 17156 байтов
Описание: отсутствует
Url     : http://weborto.net:8080/pipermail/ortho/attachments/20090904/0891b05e/attachment.jpeg 


Подробная информация о списке рассылки Ortho