[Ortho] ложный сустав вертельной области

Тарас Рокита rokytat на mail.ru
Пн Сен 7 19:36:04 YEKST 2009


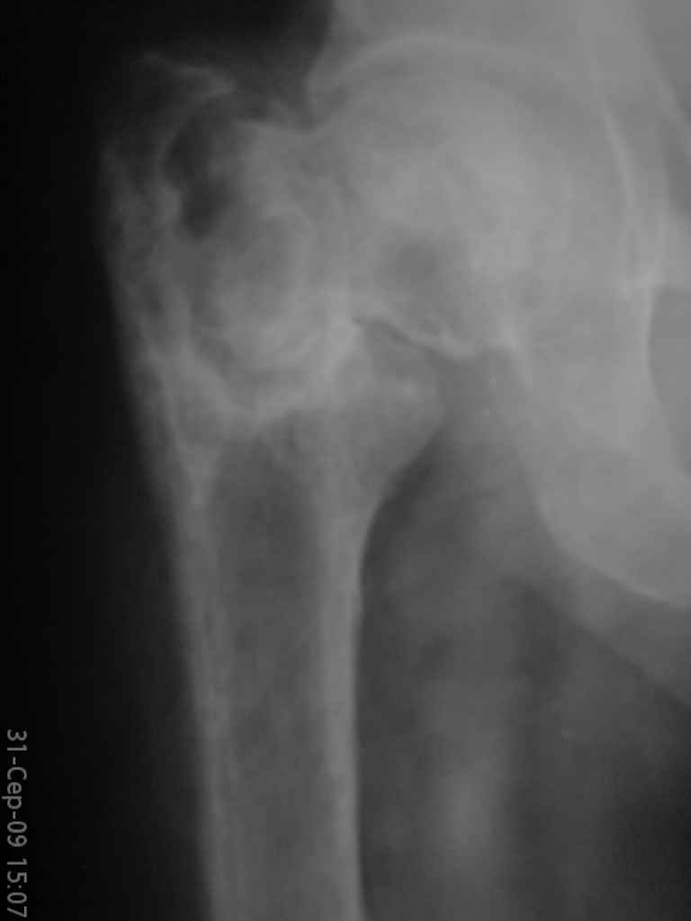
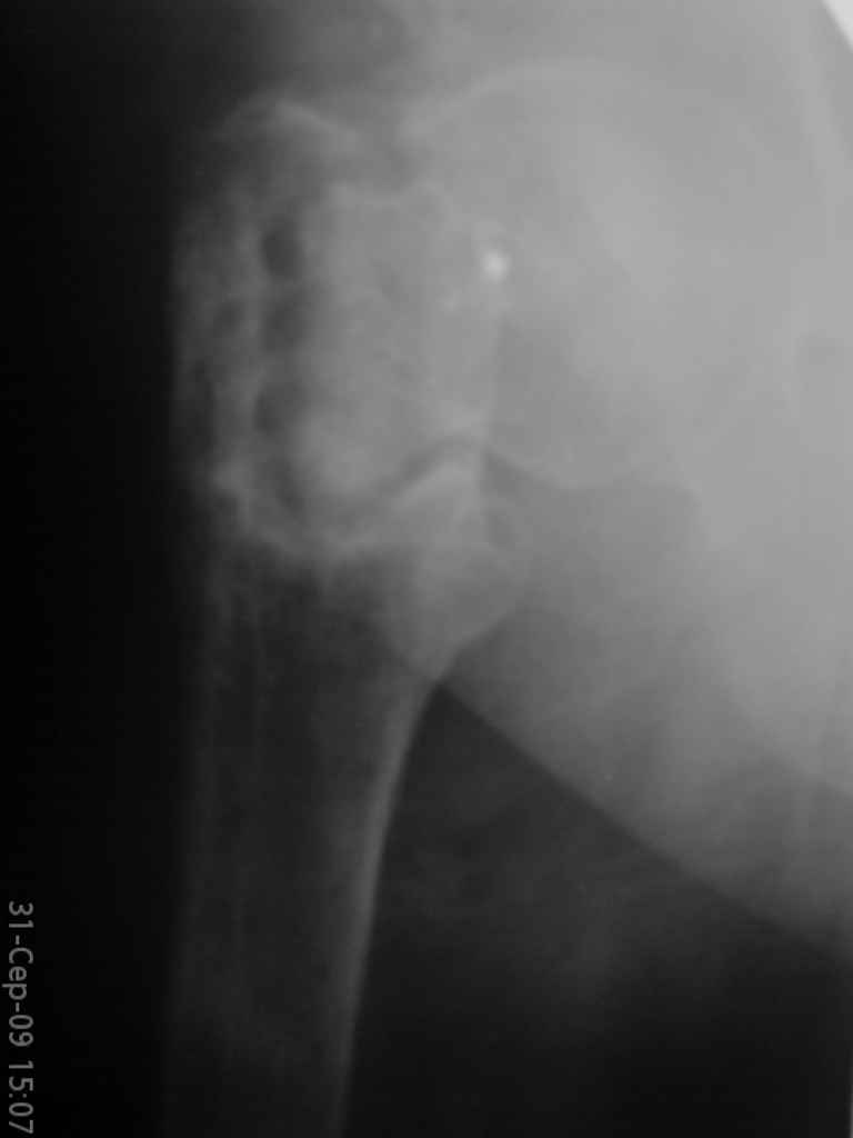
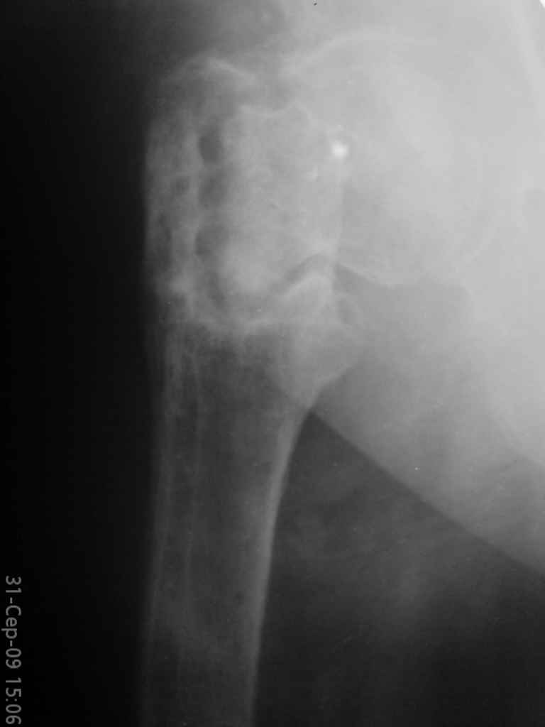
 Уважаемые коллеги, помогите определиться с тактикой лечения.
Больная, 62 года,жалуется на боли,неопорность левой ноги. Ходит с помощью костылей, укорочение ноги 3 см. Два года назад была оперирована кокой-то накостной пластиной, пластину удалили 4 мес назад. Вопрос такой: предлагать эндопротезирование или делать МОС (что-то по типу стержня Gamma)?
За качество снимков извините, по данным МРТ - головка живая
----------- УМЕДХЭБС ЮБУФШ -----------
Вложение не в текстовом формате было извлечено…
Имя     : DSC00442.JPG
Тип     : image/jpeg
Размер  : 13786 байтов
Описание: отсутствует
Url     : http://weborto.net:8080/pipermail/ortho/attachments/20090907/f57a5753/attachment-0003.jpeg 
----------- УМЕДХЭБС ЮБУФШ -----------
Вложение не в текстовом формате было извлечено…
Имя     : DSC00443.JPG
Тип     : image/jpeg
Размер  : 11784 байтов
Описание: отсутствует
Url     : http://weborto.net:8080/pipermail/ortho/attachments/20090907/f57a5753/attachment-0004.jpeg 
----------- УМЕДХЭБС ЮБУФШ -----------
Вложение не в текстовом формате было извлечено…
Имя     : DSC00444.JPG
Тип     : image/jpeg
Размер  : 13501 байтов
Описание: отсутствует
Url     : http://weborto.net:8080/pipermail/ortho/attachments/20090907/f57a5753/attachment-0005.jpeg 


Подробная информация о списке рассылки Ortho