[Ortho] ложный сустав вертельной области

Alexander Chelnokov alex61 на gmail.com
Пн Сен 7 20:43:28 YEKST 2009


Дорогой Тарас

7 сентября 2009 г. 19:36 пользователь Тарас  Рокита (rokytat на mail.ru) написал:
>Два года назад была оперирована кокой-то накостной пластиной, пластину удалили 4 мес назад. Вопрос такой:
> предлагать эндопротезирование или делать МОС (что-то по типу стержня Gamma)?

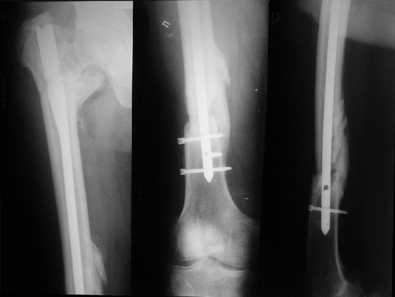
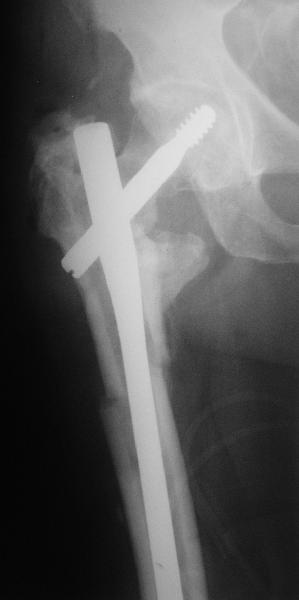
На прошлой неделе оперировали похожего пациента. 2 года после
неудачного остеосинтеза PFN в другом регионе. После удаления остатков
железа выявилось несращение вертельной области.
В такой ситуации важно устранить варусную деформацию. При
использовании гвоздя это непросто. Поэтому в число рассматриваемых
вариантов стоило бы включить вальгизирующую остеотомию с фиксацией
130-градусной клинковой пластиной или DHS.

Если есть сильное желание фиксировать все-таки гвоздем, советовал бы
ввести мощный "джойстик" параллельно оси шейки бедра близко к ее
задней стенке, сделать поперечную межвертельную остеотомию и
использовать дистрактор таз-бедро.

Поскольку в нашем случае выявилась подвижность, мы наложили дистрактор
таз-бедро на 3 дня, и сделали остеосинтез гаммой без остеотомии. То,
что произошла "корригирующая остеоклазия" в подвертельной области,
выявили после введения гвоздя. Пациент уже уехал домой, будем
наблюдать.

-- 
Best regards,
 Alexander N. Chelnokov
Ural Scientific Research Institute
of Traumatology and Orthopaedics
7, Bankovsky str. Ekaterinburg 620014 Russia
----------- следущая часть -----------
Вложение не в текстовом формате было извлечено…
Имя     : get_image1.jpg
Тип     : image/jpeg
Размер  : 32849 байтов
Описание: отсутствует
Url     : http://weborto.net:8080/pipermail/ortho/attachments/20090907/a1b9aefd/attachment-0004.jpg 
----------- следущая часть -----------
Вложение не в текстовом формате было извлечено…
Имя     : get_image2.jpg
Тип     : image/jpeg
Размер  : 13104 байтов
Описание: отсутствует
Url     : http://weborto.net:8080/pipermail/ortho/attachments/20090907/a1b9aefd/attachment-0005.jpg 
----------- следущая часть -----------
Вложение не в текстовом формате было извлечено…
Имя     : get_image3.jpg
Тип     : image/jpeg
Размер  : 13005 байтов
Описание: отсутствует
Url     : http://weborto.net:8080/pipermail/ortho/attachments/20090907/a1b9aefd/attachment-0006.jpg 
----------- следущая часть -----------
Вложение не в текстовом формате было извлечено…
Имя     : get_image4.jpg
Тип     : image/jpeg
Размер  : 9507 байтов
Описание: отсутствует
Url     : http://weborto.net:8080/pipermail/ortho/attachments/20090907/a1b9aefd/attachment-0007.jpg 


Подробная информация о списке рассылки Ortho