[Ortho] БИОС голени. В чем ошибка?

Сергей orthoforum на weborto.net
Вс Сен 13 19:25:21 YEKST 2009


Уважаемые коллеги. Помогите разобраться, есть ли в наших действиях ошибка...Если да, то в чем?
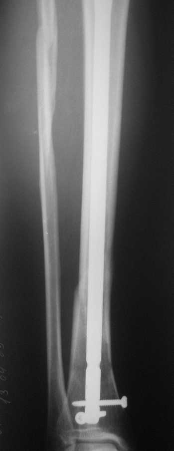
В январе 2009 года нами оперирована пациентка с переломом н\3 голени штифтом Expert. Динамизация через 4 месяца, пациентка при этом уже ходила с тростью. Дома периодически передвигалась без дополнительной опоры. 
В настоящее время - через 9 месяцев с момента операции периодически в вечернее время беспокоят ноющие боли в места перелома (не постоянно). При беседе выяснено, что боли чаще беспокоят после того, как днем она походит по дому без трости. Пальпаторно по гребню берцовой кости болей нет, но по задне-внутренней поверхности б\б кости пальпирутеся западение на уровне места перелома.
В чем ошибка??? и что делать???

Сергей
----------- УМЕДХЭБС ЮБУФШ -----------
Вложение не в текстовом формате было извлечено…
Имя     : через 9 месяцев (1).jpg
Тип     : image/jpeg
Размер  : 20666 байтов
Описание: отсутствует
Url     : http://weborto.net:8080/pipermail/ortho/attachments/20090913/ceda924c/attachment-0003.jpg 
----------- УМЕДХЭБС ЮБУФШ -----------
Вложение не в текстовом формате было извлечено…
Имя     : через 9 месяцев (2).jpg
Тип     : image/jpeg
Размер  : 20983 байтов
Описание: отсутствует
Url     : http://weborto.net:8080/pipermail/ortho/attachments/20090913/ceda924c/attachment-0004.jpg 
----------- УМЕДХЭБС ЮБУФШ -----------
Вложение не в текстовом формате было извлечено…
Имя     : через 9 месяцев (3).jpg
Тип     : image/jpeg
Размер  : 79268 байтов
Описание: отсутствует
Url     : http://weborto.net:8080/pipermail/ortho/attachments/20090913/ceda924c/attachment-0005.jpg 


Подробная информация о списке рассылки Ortho