[Ortho] Перелом хирургической шейки плеча

Роман Д. orthoforum на weborto.net
Пт Сен 18 22:53:17 YEKST 2009


Уважаемые коллеги. Выскажите пожалуйста свое мнение.

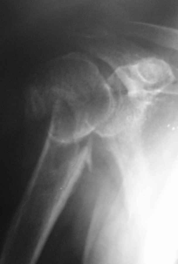
Пациент 55 лет. травма 7.07.09г (первая Р-грамма). Лечился консервативно, надолго выпадал
из под наблюдения леч. врача. Последний снимок от 7.08.09г.как видно на Р-грамме стояние
отломков неудовлетворительное, клинически выраженная патологическая подвижность. Соп.
дз: сахарный диабет 1 типа, средней тяжести. Выскажите Ваше мнение о дальнейше тактике
лечения данного пациента.
Роман Д.
----------- УМЕДХЭБС ЮБУФШ -----------
Вложение не в текстовом формате было извлечено…
Имя     : P8290255.JPG
Тип     : image/jpeg
Размер  : 28831 байтов
Описание: отсутствует
Url     : http://weborto.net:8080/pipermail/ortho/attachments/20090918/0f413fb2/attachment-0002.jpeg 
----------- УМЕДХЭБС ЮБУФШ -----------
Вложение не в текстовом формате было извлечено…
Имя     : P8290257.JPG
Тип     : image/jpeg
Размер  : 17099 байтов
Описание: отсутствует
Url     : http://weborto.net:8080/pipermail/ortho/attachments/20090918/0f413fb2/attachment-0003.jpeg 


Подробная информация о списке рассылки Ortho