[Ortho] Депрессия внутреннего мыщелка tibia - последствия

Alexander Lazarev orthoforum на weborto.net
Сб Сен 19 00:21:16 YEKST 2009


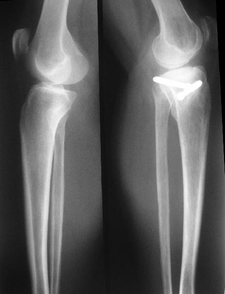
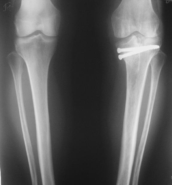
В отделение поступила  пациентка из области, 68 лет. 

Травму получила год назад, находилась на лечении  в ЦРБ по поводу перелома внутреннего мыщелка большеберцовой кости, была вот так прооперирована.

На сегодняшний момент беспокоят боли в области коленного сустава при ходьбе, движения ограничены, от 180 до 100.

При планировании операции возникли разногласия, на каком уровне делать остеотомию. То ли поднимать внутренний мыщелок, т.е. делать остеотомию через сустав, то ли обойтись внесуставной коррекцией оси.
Второй вариант менее травматичен, но конгруэнтность сустава при этом останется нарушенной, улучшится только ось конечности.
Допустима ли такая коррекция, или все-таки правильнее не менять взаимоотношения наружного мыщелка с диафизом, а поднять именно внутренний мыщелок?
Alexander Lazarev
----------- УМЕДХЭБС ЮБУФШ -----------
Вложение не в текстовом формате было извлечено…
Имя     : get_image1.jpg
Тип     : image/jpeg
Размер  : 24344 байтов
Описание: отсутствует
Url     : http://weborto.net:8080/pipermail/ortho/attachments/20090919/e258a0b9/attachment-0002.jpg 
----------- УМЕДХЭБС ЮБУФШ -----------
Вложение не в текстовом формате было извлечено…
Имя     : get_image2.jpg
Тип     : image/jpeg
Размер  : 25567 байтов
Описание: отсутствует
Url     : http://weborto.net:8080/pipermail/ortho/attachments/20090919/e258a0b9/attachment-0003.jpg 


Подробная информация о списке рассылки Ortho