[Ortho] Дистальный перелом бедра

Алексей П. orthoforum на weborto.net
Сб Сен 19 00:33:05 YEKST 2009


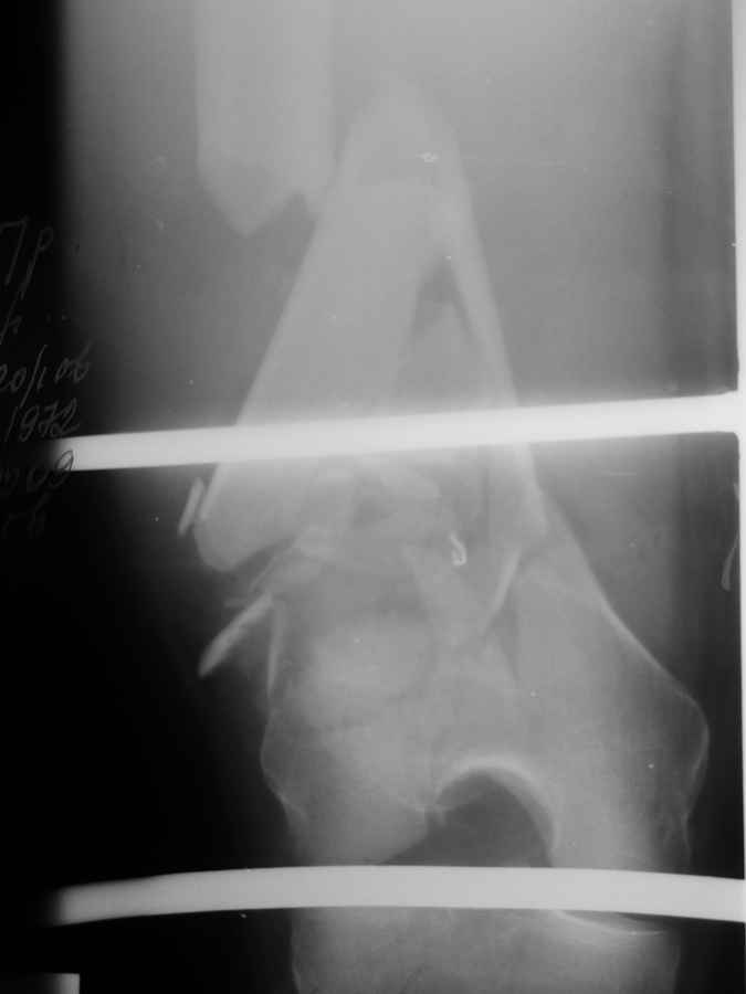
Уважаемые коллеги! подскажите тактику лечения(перелом нижней трети бедра)! 

Операция, но какая? кто имеет опыт лечения таких переломов, если есть возможность предоставить подобные случаи! Мы планируем полноценную артротомию, собрать мыщелки на винтах и заштифтовать, у каких фирм подходящие фиксаторы и какие. Пациент - доктор хотелось бы помочь по максимуму. Спасибо за любую информацию. 
Алексей П.
----------- УМЕДХЭБС ЮБУФШ -----------
Вложение не в текстовом формате было извлечено…
Имя     : P1000465.JPG
Тип     : image/jpeg
Размер  : 41406 байтов
Описание: отсутствует
Url     : http://weborto.net:8080/pipermail/ortho/attachments/20090919/b07feac3/attachment-0001.jpeg 


Подробная информация о списке рассылки Ortho