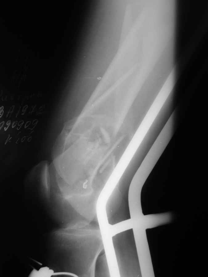
[Ortho] Дистальный перелом бедра

Алексей П. orthoforum на weborto.net
Сб Сен 19 13:17:23 YEKST 2009


Вообще насчет пластины думали... но если открыться то рассыпится все... LISS можно но тоже тяжело представить... 
И завидовать нечему.. еще загрузятся остальные снимки.
Алексей П.
----------- УМЕДХЭБС ЮБУФШ -----------
Вложение не в текстовом формате было извлечено…
Имя     : 5.jpg
Тип     : image/jpeg
Размер  : 58988 байтов
Описание: отсутствует
Url     : http://weborto.net:8080/pipermail/ortho/attachments/20090919/ca7b6c4c/attachment-0001.jpg 
----------- УМЕДХЭБС ЮБУФШ -----------
Вложение не в текстовом формате было извлечено…
Имя     : P1000466.JPG
Тип     : image/jpeg
Размер  : 42444 байтов
Описание: отсутствует
Url     : http://weborto.net:8080/pipermail/ortho/attachments/20090919/ca7b6c4c/attachment-0003.jpeg 
----------- УМЕДХЭБС ЮБУФШ -----------
Вложение не в текстовом формате было извлечено…
Имя     : P1000469.JPG
Тип     : image/jpeg
Размер  : 70683 байтов
Описание: отсутствует
Url     : http://weborto.net:8080/pipermail/ortho/attachments/20090919/ca7b6c4c/attachment-0004.jpeg 
----------- УМЕДХЭБС ЮБУФШ -----------
Вложение не в текстовом формате было извлечено…
Имя     : P1000470.JPG
Тип     : image/jpeg
Размер  : 110459 байтов
Описание: отсутствует
Url     : http://weborto.net:8080/pipermail/ortho/attachments/20090919/ca7b6c4c/attachment-0005.jpeg 


Подробная информация о списке рассылки Ortho