[Ortho] привычный задний вывих плеча

Осипов Алексей orthoforum на weborto.net
Вс Сен 20 22:20:03 YEKST 2009


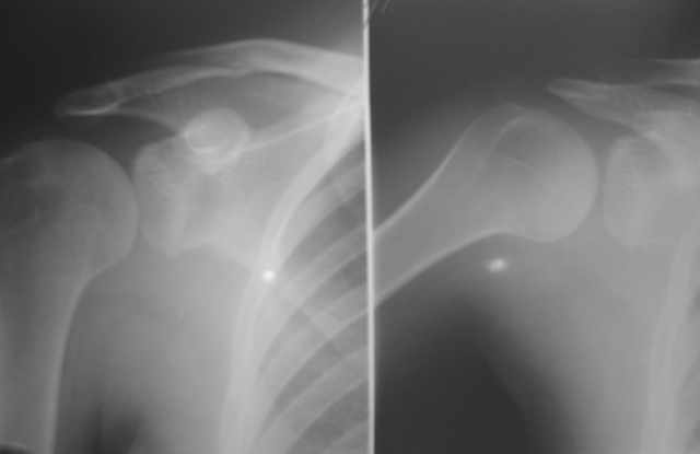
Пациентка 18 лет страдает привычным задним вывихом плеча. Выполнены операции: Задний
артрориз с использованием аутотрансплантата, рцидив выввиха через 6 мес после операции
(клинически и рентгенологически трансплантат рассосался). Остеотомия суставного
отростка лопатки с увеличением угла антеверсии, рецидив через 9 мес. Какие варианты
стабилизации возможны в данном случае? На рентгенограмме справа плечо в положении вывиха.
Осипов Алексей
----------- УМЕДХЭБС ЮБУФШ -----------
Вложение не в текстовом формате было извлечено…
Имя     : DSC06361.JPG
Тип     : image/jpeg
Размер  : 11006 байтов
Описание: отсутствует
Url     : http://weborto.net:8080/pipermail/ortho/attachments/20090920/0421e69c/attachment.jpeg 


Подробная информация о списке рассылки Ortho