[Ortho] Нужена консультация н/хирурга, вертебролога

Алексей orthoforum на weborto.net
Вс Сен 20 22:36:13 YEKST 2009


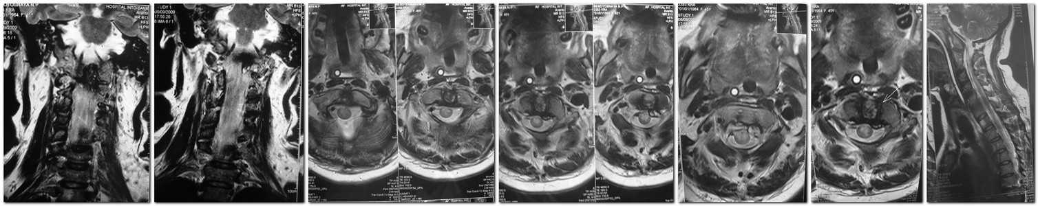
Ещё фото...
Алексей
----------- УМЕДХЭБС ЮБУФШ -----------
Вложение не в текстовом формате было извлечено…
Имя     : 2113.jpg
Тип     : image/jpeg
Размер  : 68813 байтов
Описание: отсутствует
Url     : http://weborto.net:8080/pipermail/ortho/attachments/20090920/0f660e30/attachment-0002.jpg 
----------- УМЕДХЭБС ЮБУФШ -----------
Вложение не в текстовом формате было извлечено…
Имя     : 2223.jpg
Тип     : image/jpeg
Размер  : 111803 байтов
Описание: отсутствует
Url     : http://weborto.net:8080/pipermail/ortho/attachments/20090920/0f660e30/attachment-0003.jpg 


Подробная информация о списке рассылки Ortho