[Ortho] Депрессия внутреннего мыщелка tibia - последствия

Denis Rimashevskiy denis.rimashevskiy на stryker.com
Пн Сен 21 15:03:09 YEKST 2009


Александр, здравствуйте!
По снимку видно, что и в наружном отделе сустава есть серьезные изменения. 

С моей точки зрения, как операцию выбора, надо рассматривать тотальное 
эндопротезирование. 
Если коллатеральные связки целы - обычное, несвязанное. Только желательно 
во время операции иметь в запасе 0.5 и 1.0 см. замещающие кость вставки на 
внутренний мыщелок и ножку для большеберцового компонента. Но может быть 
это и не понадобиться. 
Если внутренняя коллатеральная связка повреждена - hinge. 

Больной 68 лет. С учетом того, что средняя продолжительность жизни женщины 
в РФ - 72-74 года, не вижу причин откладывать эндопротезирование. 


С уважением, Римашевский Д. 

Denis Rimashevskiy
Product manager Recon & Trauma CIS
Stryker Export
4 Ivana Franko
121108 Moscow, Russia
t: + 7(495)146-19-07
t: + 7(909) 943-06-18
denis.rimashevskiy на stryker.com
http://www.export.stryker.com




"Alexander Lazarev" <orthoforum на weborto.net>
Sent by: ortho-bounces на weborto.net
18.09.2009 22:21
Please respond to Orthoforum
 
        To:     ortho на weborto.net
        cc: 
        Subject:        [Ortho] Депрессия внутреннего мыщелка tibia - 
последствия


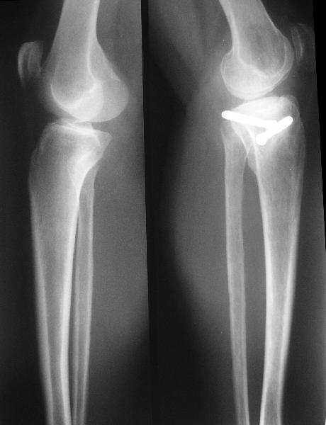
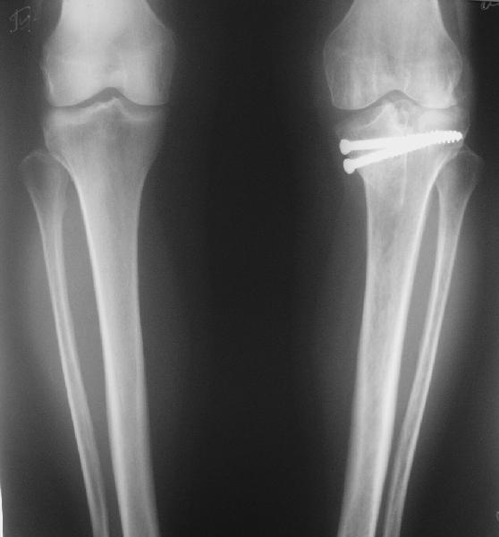
В отделение поступила  пациентка из области, 68 лет. 

Травму получила год назад, находилась на лечении  в ЦРБ по поводу перелома 
внутреннего мыщелка большеберцовой кости, была вот так прооперирована.

На сегодняшний момент беспокоят боли в области коленного сустава при 
ходьбе, движения ограничены, от 180 до 100.

При планировании операции возникли разногласия, на каком уровне делать 
остеотомию. То ли поднимать внутренний мыщелок, т.е. делать остеотомию 
через сустав, то ли обойтись внесуставной коррекцией оси.
Второй вариант менее травматичен, но конгруэнтность сустава при этом 
останется нарушенной, улучшится только ось конечности.
Допустима ли такая коррекция, или все-таки правильнее не менять 
взаимоотношения наружного мыщелка с диафизом, а поднять именно внутренний 
мыщелок?
Alexander Lazarev
_______________________________________________
Ortho mailing list
Ortho на weborto.net
http://weborto.net:8080/mailman/listinfo/ortho


----------- следущая часть -----------
Вложение в формате HTML было извлечено&hellip;
URL: http://weborto.net:8080/pipermail/ortho/attachments/20090921/92017f40/attachment-0001.htm 
----------- следущая часть -----------
Вложение не в текстовом формате было извлечено&hellip;
Имя     : get_image1.jpg
Тип     : image/jpeg
Размер  : 24344 байтов
Описание: отсутствует
Url     : http://weborto.net:8080/pipermail/ortho/attachments/20090921/92017f40/attachment-0002.jpg 
----------- следущая часть -----------
Вложение не в текстовом формате было извлечено&hellip;
Имя     : get_image2.jpg
Тип     : image/jpeg
Размер  : 25567 байтов
Описание: отсутствует
Url     : http://weborto.net:8080/pipermail/ortho/attachments/20090921/92017f40/attachment-0003.jpg 


Подробная информация о списке рассылки Ortho