[Ortho] Что делать с этим ...

Багов О.Х. orthoforum на weborto.net
Чт Сен 24 01:47:49 YEKST 2009


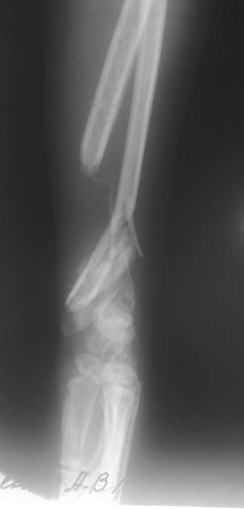
Больная Д. 30 лет плучила травму 12.07.09г, пассажир скутера -
тяжелая сочетанная травма брюшной полости и конечностей,
гемоперитониум, закрытый перелом н\3 ЛЕВОГО БЕДРА, открытый перелом
н/3 левого предплечья с дефектом обеих костей, рана голени.

С момента травмы перелом предплечья был фиксирован анкерно-спицевым
апаратом, проводилось лечение других сегментов.

В настоящий момент АВФ демонтирован, имеется следующая
рентгенологическая картина (см. приложение), имеется дефект обеих
костей и суставных поверхностей. 
Коллеги, подскажите варианты лечения в данном случае ?!

Багов О.Х.
ККБ г.Краснодар
----------- УМЕДХЭБС ЮБУФШ -----------
Вложение не в текстовом формате было извлечено…
Имя     : бок проекция.jpg
Тип     : image/jpeg
Размер  : 12140 байтов
Описание: отсутствует
Url     : http://weborto.net:8080/pipermail/ortho/attachments/20090924/45795ad7/attachment-0002.jpg 
----------- УМЕДХЭБС ЮБУФШ -----------
Вложение не в текстовом формате было извлечено…
Имя     : прямая проекция.jpg
Тип     : image/jpeg
Размер  : 11684 байтов
Описание: отсутствует
Url     : http://weborto.net:8080/pipermail/ortho/attachments/20090924/45795ad7/attachment-0003.jpg 


Подробная информация о списке рассылки Ortho