[Ortho] Перелом н\3 плечевой кости. Тактика лечения?

Александр А. orthoforum на weborto.net
Сб Сен 26 21:33:13 YEKST 2009


Здравствуйте Сергей!
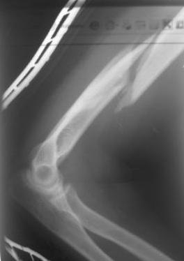
Перелом нестабильный, тактика - если позволяет сосояние больной, оперативное лечение. Как пример см. ниже, можно без скобы - стяжки с ЭПФ. Представленный способ, функциональный, данная больная в качестве внешней иммобиллизации в течение 3-х недель полльзовалась косыночной повязкой, востановление функции плеча полное. Правда травма изолированная, но операция выполнялась через три недели после травмы, тот час после обращения ко мне - иногородняя.
Спасибо.
Александр А.
----------- УМЕДХЭБС ЮБУФШ -----------
Вложение не в текстовом формате было извлечено…
Имя     : 1.JPG
Тип     : image/jpeg
Размер  : 13272 байтов
Описание: отсутствует
Url     : http://weborto.net:8080/pipermail/ortho/attachments/20090926/d05e558f/attachment-0003.jpeg 
----------- УМЕДХЭБС ЮБУФШ -----------
Вложение не в текстовом формате было извлечено…
Имя     : 2.JPG
Тип     : image/jpeg
Размер  : 11178 байтов
Описание: отсутствует
Url     : http://weborto.net:8080/pipermail/ortho/attachments/20090926/d05e558f/attachment-0004.jpeg 
----------- УМЕДХЭБС ЮБУФШ -----------
Вложение не в текстовом формате было извлечено…
Имя     : 3.JPG
Тип     : image/jpeg
Размер  : 7400 байтов
Описание: отсутствует
Url     : http://weborto.net:8080/pipermail/ortho/attachments/20090926/d05e558f/attachment-0005.jpeg 


Подробная информация о списке рассылки Ortho