[Ortho] Застарелый вывих плеча

Батал Шушания orthoforum на weborto.net
Вс Сен 27 23:24:30 YEKST 2009


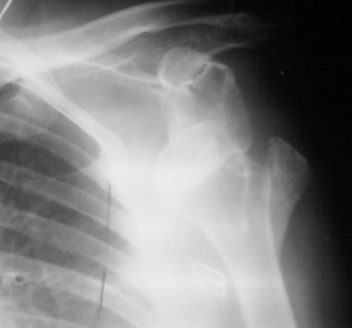
Обратилась девушка 30 лет с жалобами на боли и ограничение движений в левом плечевом суставе.
На рентгенснимке левого плеча в передне-задней проекции полный вывих плеча с отрывом
большого бугорка. Пальпаторно головка под клювовидным отростком лопатки. Со слов девушки,
6 месяцев назад получила травму, упала на область левого плеча с высоты примерно 2 метров. За
медицинской помощью обратилась только сейчас (не знаю почему столько времени находилась
без медицинской помощи....почему то пациентка не хочет об этом говорить). Сейчас больше
всего беспокоят боли, чем ограничение движений, хотя ограничение движений в левом плечевом
суставе существенное. Неврологических и сосудистых нарушений в левой руке нет У нас нет
опыта вправления плеча, вывихнута через 6 месяцев. За это время произошло сморщивание
капсулы плечевого сустава.... Мы предполагаем открытое вправление головки плеча,
остеосинтез большого бугорка, ревизию ротаторов плеча с возможной их пластикой. Не знаем
какой будет функциональный результат от нашей операции. Ваше мнение дорогие коллеги
Батал Шушания
----------- УМЕДХЭБС ЮБУФШ -----------
Вложение не в текстовом формате было извлечено…
Имя     : IMAGE_006.jpg
Тип     : image/jpeg
Размер  : 15334 байтов
Описание: отсутствует
Url     : http://weborto.net:8080/pipermail/ortho/attachments/20090927/e6087973/attachment-0001.jpg 


Подробная информация о списке рассылки Ortho