[Ortho] Открытый осложненный перелом дистального метаэпифиза плеча

Дедок Михаил orthoforum на weborto.net
Вт Сен 29 01:01:58 YEKST 2009


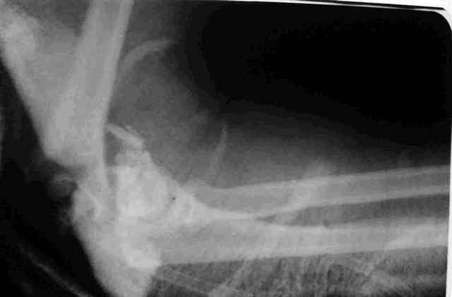
Прошу оказать помощь в определении дальнейшей тактики лечения открытого оскольчатого
перелома дистального отдела плеча, осложненного гнойной инфекцией у пациентки с
сочетанной травмой.

Пациентка получила сочетанную травму в результате падения с высоты. В числе прочих
повреждений открытый оскольчатый перелом дистального отдела плечевой кости. Выполнено
ПХО, гипсовая иммобилизация. На следующие сутки клиника гнойной инфекции. Произведена
вторичная гнойная хирургическая обработка раны, стабилизация перелома аппаратом,
вакуумное дренирование. В настоящий момент гнойного отделяемого нет. (отделяется
синовиальная жидкость. Наложены вторичные швы. Вопрос - какова дальнейшая тактика в случае
заживления раны ( открытый остеосинтез или функциональное лечение). Что делать в случает
возобновления гнойного процесса.

Дедок Михаил
МУЗ Узловская районная больница
----------- УМЕДХЭБС ЮБУФШ -----------
Вложение не в текстовом формате было извлечено…
Имя     : DSCN1562.JPG
Тип     : image/jpeg
Размер  : 74578 байтов
Описание: отсутствует
Url     : http://weborto.net:8080/pipermail/ortho/attachments/20090929/31a5e448/attachment-0005.jpeg 
----------- УМЕДХЭБС ЮБУФШ -----------
Вложение не в текстовом формате было извлечено…
Имя     : DSCN1563.JPG
Тип     : image/jpeg
Размер  : 80778 байтов
Описание: отсутствует
Url     : http://weborto.net:8080/pipermail/ortho/attachments/20090929/31a5e448/attachment-0006.jpeg 
----------- УМЕДХЭБС ЮБУФШ -----------
Вложение не в текстовом формате было извлечено…
Имя     : DSCN1569.JPG
Тип     : image/jpeg
Размер  : 58143 байтов
Описание: отсутствует
Url     : http://weborto.net:8080/pipermail/ortho/attachments/20090929/31a5e448/attachment-0007.jpeg 
----------- УМЕДХЭБС ЮБУФШ -----------
Вложение не в текстовом формате было извлечено…
Имя     : DSCN1573.JPG
Тип     : image/jpeg
Размер  : 59677 байтов
Описание: отсутствует
Url     : http://weborto.net:8080/pipermail/ortho/attachments/20090929/31a5e448/attachment-0008.jpeg 
----------- УМЕДХЭБС ЮБУФШ -----------
Вложение не в текстовом формате было извлечено…
Имя     : DSCN1574.JPG
Тип     : image/jpeg
Размер  : 59580 байтов
Описание: отсутствует
Url     : http://weborto.net:8080/pipermail/ortho/attachments/20090929/31a5e448/attachment-0009.jpeg 


Подробная информация о списке рассылки Ortho