[Ortho] контрактура локтевого сустава

Шухрат orthoforum на weborto.net
Вт Сен 29 01:08:44 YEKST 2009


Уважаемые коллеги! Нужен Ваш совет,

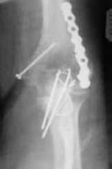
Подскажите пожалуйста, как можно в дальнейшем этому больному помочь. В марте первая
операция, пришлось оперировать на 16 сутки в виду инфицированных садин и анемии. Заживление
первичным натяжением, ранняя разработка после операции, а через 2 нед болевой синдром,и
постепенно движения в локтевом суставе ограничились до полного анкилоза. Повторно через 4
месяца вторая операция - артролиз, удаление оссификатов, удаление фиксаторов,
реостеосинтез этой же реконструкционной пластиной и винтом. Интраоперационно после
удаления оссификатов и фиксаторов обнаружил, что переломы не сросшиеся, поэтому пришлось
синтезировать заново. Зажила рана первично, объем движений в локтевом суставе сгибание 70,
разгибание160, ротационные движения востановились полностью, вроде бы успокоились.
Опять постепенно в течении 8 нед после повторной операции постепенно движения ограничились
до 80 - 110, на снимке оссификат. Снимки во вложении, буду рад Вашим советам. Спасибо!

С уважением Шухрат.
----------- УМЕДХЭБС ЮБУФШ -----------
Вложение не в текстовом формате было извлечено…
Имя     : image001.jpg
Тип     : image/jpeg
Размер  : 2412 байтов
Описание: отсутствует
Url     : http://weborto.net:8080/pipermail/ortho/attachments/20090929/7d2e4f5d/attachment-0007.jpg 
----------- УМЕДХЭБС ЮБУФШ -----------
Вложение не в текстовом формате было извлечено…
Имя     : image003.jpg
Тип     : image/jpeg
Размер  : 1943 байтов
Описание: отсутствует
Url     : http://weborto.net:8080/pipermail/ortho/attachments/20090929/7d2e4f5d/attachment-0008.jpg 
----------- УМЕДХЭБС ЮБУФШ -----------
Вложение не в текстовом формате было извлечено…
Имя     : image005.jpg
Тип     : image/jpeg
Размер  : 1784 байтов
Описание: отсутствует
Url     : http://weborto.net:8080/pipermail/ortho/attachments/20090929/7d2e4f5d/attachment-0009.jpg 
----------- УМЕДХЭБС ЮБУФШ -----------
Вложение не в текстовом формате было извлечено…
Имя     : image007.jpg
Тип     : image/jpeg
Размер  : 3977 байтов
Описание: отсутствует
Url     : http://weborto.net:8080/pipermail/ortho/attachments/20090929/7d2e4f5d/attachment-0010.jpg 
----------- УМЕДХЭБС ЮБУФШ -----------
Вложение не в текстовом формате было извлечено…
Имя     : image009.jpg
Тип     : image/jpeg
Размер  : 2944 байтов
Описание: отсутствует
Url     : http://weborto.net:8080/pipermail/ortho/attachments/20090929/7d2e4f5d/attachment-0011.jpg 
----------- УМЕДХЭБС ЮБУФШ -----------
Вложение не в текстовом формате было извлечено…
Имя     : image011.jpg
Тип     : image/jpeg
Размер  : 2553 байтов
Описание: отсутствует
Url     : http://weborto.net:8080/pipermail/ortho/attachments/20090929/7d2e4f5d/attachment-0012.jpg 
----------- УМЕДХЭБС ЮБУФШ -----------
Вложение не в текстовом формате было извлечено…
Имя     : image013.jpg
Тип     : image/jpeg
Размер  : 3369 байтов
Описание: отсутствует
Url     : http://weborto.net:8080/pipermail/ortho/attachments/20090929/7d2e4f5d/attachment-0013.jpg 


Подробная информация о списке рассылки Ortho