[Ortho] Ложный сустав бедра - мнения по татктике

Artemiev alex_artemiev на mail.ru
Вт Сен 29 20:24:08 YEKST 2009


Коллеги, доброго времени...
Хочу выслушать мнения по тактике лечения пациентки примерно 35 лет.
Анамнез:
  1. 14 мес назад (летом 2008 г)- перелом бедра, оскольчатый, закрытый. Интрамедуллярный
остеосинтез гвоздем Кюнчера, несостоятельная фиксация, поэтому
дополнили кокситом.
 2. Через 4 мес. ввиду отсутствия перспектив сращения - я выполнил остеосинтез
  аппаратом Илизарова. В отдельные периоды была надежда на
  консолидацию. В аппарате 6-7 мес, постоянные выделения в области
  стержня - сняли аппарат.
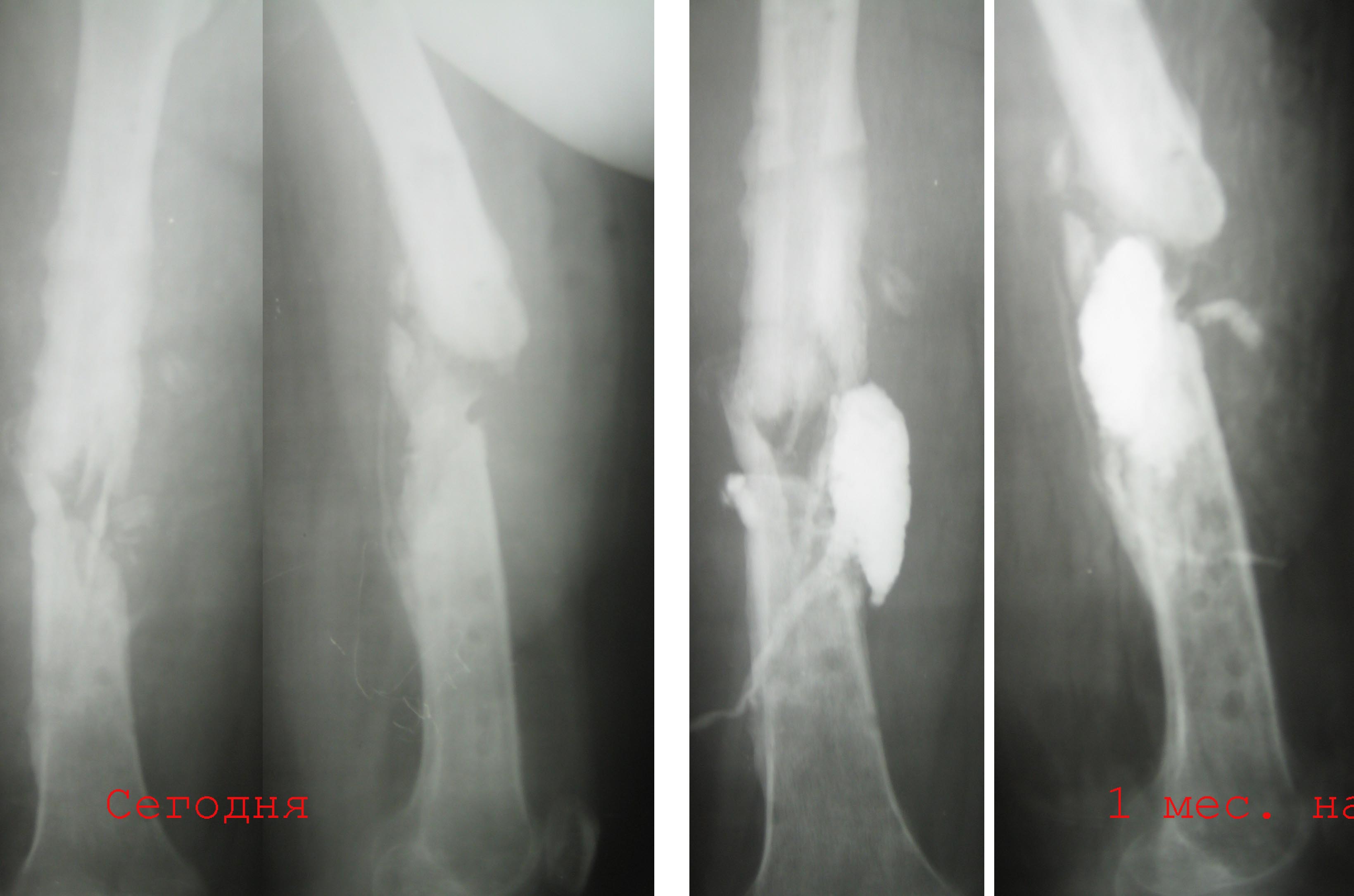
  3.  2 мес. ходит с лонгетой, имеется патологическая подвижность. В
  течение месяца после снятия сохранялись выделения из отверстия, где
  был стержень, температура до 38, иногда отсутствовала. Сделал
  фистулу с уверенностью, что это стержневой остеомиелит.
  Но контраст ушел в зону перелома, и эвакуировал около 20 мл
  лизированной крови (без гноя). Температура исчезла, свищ практически
  закрылся.
  4.  Сейчас два раза в неделю промываем эту полость, всегда - около 7 мл
  сукровицы. Иногда - Субфебрильная температура.

  Хотелось бы услышать мнения насчет лечения. Проблем с выбором
  средств и способов нет.  Примерно представляю, что услышу:) Но с
  учетом конкретных особенностей...

  С уважением Александр Артемьев.
  

-- 
С уважением,
 Artemiev                          mailto:alex_artemiev на mail.ru
----------- следущая часть -----------
Вложение не в текстовом формате было извлечено…
Имя     : Бедро фистула.jpg
Тип     : image/jpeg
Размер  : 277581 байтов
Описание: отсутствует
Url     : http://weborto.net:8080/pipermail/ortho/attachments/20090929/794640b6/attachment-0001.jpg 


Подробная информация о списке рассылки Ortho